Muistipotilaan rutiinikuvausprotokolla magneettikuvauksessa (Muisti-MK)

Muistihäiriöpotilaan rutiinikuvausprotokollaan kuuluvat MK:ssa vähintään T1-painotteinen 3-dimensionaalinen kuvasarja (a) sekä transaksiaalinen T2-painotteinen (b) ja Flair-sarja (c). On suositeltavaa kuvata rutiinisti myös hemosideriinille herkkä SWI- tai T2*-sekvenssi ja diffuusiokuvaus. Tarvittaessa kuvataan myös lisäsekvenssejä, kuten varjoainetehosteinen sarja.
Muistipotilaan rutiinikuvausprotokolla tietokonetomografiassa (Muisti-TT)

Muistihäiriöpotilaan TT-kuvaus tulisi tehdä 3-dimensionaalisella muistiohjelmalla, joka parantaa menetelmän tarkkuutta. Viistokoronaali- ja sagittaalisuunnan reformaattikuvista voidaan arvioida suhteellisen luotettavasti kortikaalista ja temporomesiaalista atrofiaa sekä asteeltaan merkittäviä valkean aineen vaskulaarimuutoksia.
Scheltensin luokitus «Scheltens P, Launer LJ, Barkhof F ym. Visual asses...»1 hippokampusatrofian (MTA) asteen arvioimiseksi

Scheltensin viisiportaista luokittelua «Scheltens P, Launer LJ, Barkhof F ym. Visual asses...»1 käytetään luokittelemaan visuaalisesti temporomesiaalialueen atrofian astetta, erityisesti hippokampusatrofiaa.
Lähde: Valk J, Barkhof F, Scheltens P. Magnetic Resonance in Dementia. Springer-Verlag, 2002. © Philip Scheltens
Posteriorisen atrofian arviointi

Posteriorisen kortikaalisen atrofian arvioimisessa hyödynnetään kolmea eri leikesuuntaa kolmiulotteisessa T1-painotteisessa magneettikuvauksessa. Sagittaalisuunnan paramediaanisesta kuvasta (vasemmalla) nähdään posteriorisen sulcus cingulin, parieto-oksipitaalisen sulcuksen ja praecuneuksen atrofia. Koronaalisuunnan kuvassa (keskellä) kiinnitetään huomio posteriorisen sulcus cingulin levenemiseen ja parietaalilohkojen atrofian asteeseen. Aksiaalisuunnan kuvasta (oikealla) arvioidaan sulcusten levenemistä parietaalilohkoissa ja posteriorisessa sulcus cingulissa. Luokittelu tehdään Koedamin ym. «Koedam EL, Lehmann M, van der Flier WM ym. Visual ...»2 mukaisesti.
Posteriorisen atrofian luokittelu Koedamin «Koedam EL, Lehmann M, van der Flier WM ym. Visual ...»2 mukaan

Fazekas-luokitus «Fazekas F, Chawluk JB, Alavi A ym. MR signal abnor...»3 valkean aineen vaskulaarimuutosten luokitteluun

Valkean aineen luokittelussa voidaan käyttää modifioitua Fazekasin neliportaista luokittelua «Fazekas F, Chawluk JB, Alavi A ym. MR signal abnor...»3, jossa Gr 0 on normaali, ei muutoksia, Gr 1 (a) vastaa yksittäisiä syvän valkean aineen < 10 mm:n kirkassignaalimuutoksia ja periventrikulaarista ohutta reunusta, Gr 2 (b) vastaa läiskäisiä 10–20 mm:n kirkassignaalimuutoksia ja periventrikulaarisesti paksua reunusta ja Gr 3 (c) vastaa konfluoivia muutoksia ja epäsäännöllistä paksua reunusta. Muutokset näkyvät parhaiten Flair-sekvenssissä. Tässä kuvasarjassa havainnollistetaan luokittelua vertaamalla rinnakkain kolmen eri potilaan Flair-kuvaa lateraaliventrikkelin korpusosan tasolta.
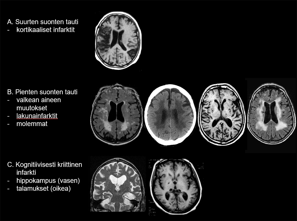
Vaskulaariseen kognitiiviseen heikentymään liittyvän aivoverenkiertosairauden päätyypit ja niitä kuvaavat aivojen magneetti- tai TT-kuvalöydökset

Suurten suonten taudissa (A) löydöstä hallitsevat yksi tai useampia kortikaalisia infarkteja.
Pienten suonten taudissa (B) nähtävät valkean aineen muutokset näkyvät MK:ssa herkimmin FLAIR-sekvenssissä. Keskivaikeat ja vaikea-asteiset valkean aineen muutokset näkyvät myös TT-tutkimuksessa. Lakunainfarktit näkyvät T1-3D-kuvissa, ja niihin voi liittyä FLAIR-sekvenssissä kirkassignaalinen reunus. Osalla potilaista on sekä valkean aineen muutoksia että lakunoita. Kognitiivisesti kriittisen alueen infarkti (C) voi sijaita esimerkiksi hippokampuksessa (vasen kuva) tai talamuksissa ja basaalitumakealueella (oikea kuva).
Kuvien lähde: Erkinjuntti T, Remes A, Rinne J, Soininen H. Muistisairaudet. Kustannus Oy Duodecim. 2015
Ks. lisätietoa radiologisten muutosten arvioinnista muistisairauksissa «Partanen K, Laakso M, Erkinjuntti T ym. [Imaging d...»4, «Vanninen R, Mäntylä R, Salonen O ym. [Brain imagin...»5, «Remes AM, Vanninen R, Jokinen H ym. [Posterior var...»6.