Diabeettinen retinopatia

Käypä hoito
Suomalaisen Lääkäriseuran Duodecimin, Suomen Silmälääkäriyhdistyksen ja Diabetesliiton lääkärineuvoston asettama työryhmä
11.6.2024

Miten viitata Käypä hoito -suositukseen? «K1»1

Keskeinen sanoma

  • Tyypin 1 diabeteksessa retinopatia on harvinainen viiden ensimmäisen sairausvuoden aikana ja ennen murrosikää «Tyypin 1 diabetesta sairastavilla lapsilla ei esiinny retinopatiaa ennen 10 vuoden ikää.»A.
  • Diabeettista retinopatiaa on 20 sairausvuoden kuluessa lähes kaikilla alle 30-vuotiaana tyypin 1 diabetekseen sairastuneilla.
  • Proliferatiivista retinopatiaa esiintyy 15–20 sairausvuoden kuluttua heistä 15–50 %:lla. Proliferatiivisen retinopatian esiintyvyys 25–30 sairausvuoden aikana on kuitenkin pienentynyt viime vuosikymmeninä.
  • Tyypin 2 diabeteksessa retinopatiaa voi esiintyä jo diabeteksen diagnoosivaiheessa «Tyyppi 2 diabeetikoista osalla on retinopatiamuutoksia jo taudin diagnoosivaiheessa.»A. Proliferatiivisen retinopatian riski on tyypin 2 diabetesta sairastavilla selvästi pienempi kuin nuorena tyypin 1 diabetekseen sairastuneilla.
  • Makulaturvotus sen sijaan on yhtä yleistä tyypin 1 ja 2 diabeteksessa, esiintyvyys 16 % vs. 17 % 20 sairausvuoden aikana.
  • Perustaudin hyvä hoito estää retinopatian ilmaantumista ja etenemistä. Tavoitteina ovat
    • hyvä glukoositasapaino
    • iän ja muiden elinmuutosten kannalta sopiva verenpaine
    • metabolisen oireyhtymän estäminen ja hoitaminen.
  • Kaikkien diabetesta sairastavien silmänpohjat tulee tutkia säännöllisesti (taulukko «Työryhmän ehdottama diabeettisen retinopatian seulonnan ajoitus....»1).
  • Retinopatian oikea-aikainen hyvä hoito vähentää merkittävästi näön heikkenemisen vaaraa.

Tiivistelmä ja potilasversio

Taulukko 1. Työryhmän ehdottama diabeettisen retinopatian seulonnan ajoitus.
Seulottavat ryhmät Seulonnan aloitus ja seulontaväli
* Jos glukoositasapaino ja verenpaine ovat aikuisiällä pitkäaikaisesti hyviä, voidaan harkita 3 vuoden seulontaväliä.
** Jos retinopatiamuutokset häviävät tai on vain vähäisiä etenemättömiä muutoksia makulan ja fovean ulkopuolella, kontrolliväli on 2 vuotta.
*** Jos retinopatiamuutokset häviävät tai on vain vähäisiä ja etenemättömiä muutoksia makulan ja fovean ulkopuolella, kontrolliväli voi pidentyä 3–4 vuoteen.
Henkilöt, joilla on tyypin 1 diabetes tai muu insuliiniriippuvainen diabetes Alle 10-vuotiaana sairastuneet 10–11 vuoden iästä alkaen 2 vuoden välein, jos löydös on normaali*
Retinopatiamuutosten toteamisen jälkeen
vuoden välein tai tiheämmin**
10-vuotiaana tai vanhempana sairastuneet 2 vuoden kuluttua diabeteksen toteamisesta
Seulontavälit kuten alle 10-vuotiaana sairastuneilla
Henkilöt, joilla on tyypin 2 diabetes tai muu ei-insuliiniriippuvainen diabetes Alle 25-vuotiaana sairastuneet Toteamisvaiheesta alkaen 2 vuoden välein, jos löydös on normaali
Jatkossa kuten yli 25-vuotiaana sairastuneilla.
25-vuotiaana tai vanhempana sairastuneet Toteamisvaiheessa, jos glukoosipitoisuus on suuri tai on viitettä vuosien kestosta ennen toteamista, muuten 1–2 vuoden kuluttua toteamisesta
Jos löydös normaali, 3 vuoden välein
Jos keskeiset riskitekijät ovat hyvässä tasapainossa eikä ole retinopatiaa, 4 vuoden välein
Jos glukoositasapainossa tapahtuu voimakas muutos, silmänpohjat on tarpeen tutkia aikaisemmin ja tiheämmin
Retinopatiamuutosten jälkeen 2 vuoden välein, jos vähäisiä muutoksia fovean ulkopuolella
Vuosittain tai tiheämmin, jos muutoksia on enemmän***
Raskaana olevat henkilöt, joilla on diabetes ennen raskauden alkua Raskautta suunniteltaessa tai heti raskauden alussa
Seuranta retinopatian vaikeusasteen ja glukoositasapainon mukaan
Ellei ole retinopatiaa tai on vain vähäisiä retinopatiamuutoksia, seuraava tutkimus 3. trimesterin aikana (noin viikoilla 24–28)
Jos on lievää runsaampia retinopatiamuutoksia, seuraava tutkimus viikoilla 16–20 ja seuraava noin viikolla 28
Raskauden jälkeen vuoden ajan tavanomaista tiheämmin, jos on vähintään kohtalaisia retinopatiamuutoksia

Suosituksen tavoite

  • Tavoitteena on vähentää silmänpohjamuutosten ilmaantumista ja etenemistä perustaudin, kohonneen verenpaineen ja muiden tunnettujen vaaratekijöiden tehokkaalla hoidolla.
  • Tavoitteena on kattavan ja laadukkaan silmänpohjamuutosten seulonnan ja seurannan, oikea-aikaisen laserhoidon, lääkehoidon ja lasiaisverkkokalvoleikkausten avulla estää diabeteksen aiheuttamaa näkövammaisuutta.

Aiheen rajaus

  • Suosituksessa käsitellään vain retinopatiaa. Muut diabeteksen aiheuttamat silmämuutokset eivät kuulu suosituksen aiheeseen.

Kohderyhmät

  • Suosituksen kohderyhmät ovat diabetesta sairastavia hoitavat silmätautien erikoislääkärit ja silmätauteihin erikoistuvat lääkärit, perusterveydenhuollon, työterveyshuollon ja erikoissairaanhoidon lääkärit sekä muut potilaiden tutkimiseen, hoitoon ja kuntoutukseen osallistuvat ammattilaiset.

Määritelmät

Kuva 1.

Silmänpohjan neljännekset

Kuva 2.

Diabetes, taustaretinopatia, oikea silmä. Mikroaneurysma ylätemporaalisen suonikaaren yläpuolella.

Kuva 3.

Diabetes, taustaretinopatia, vasen silmä. Mikroaneurysma makulan ylänasaalireunalla.

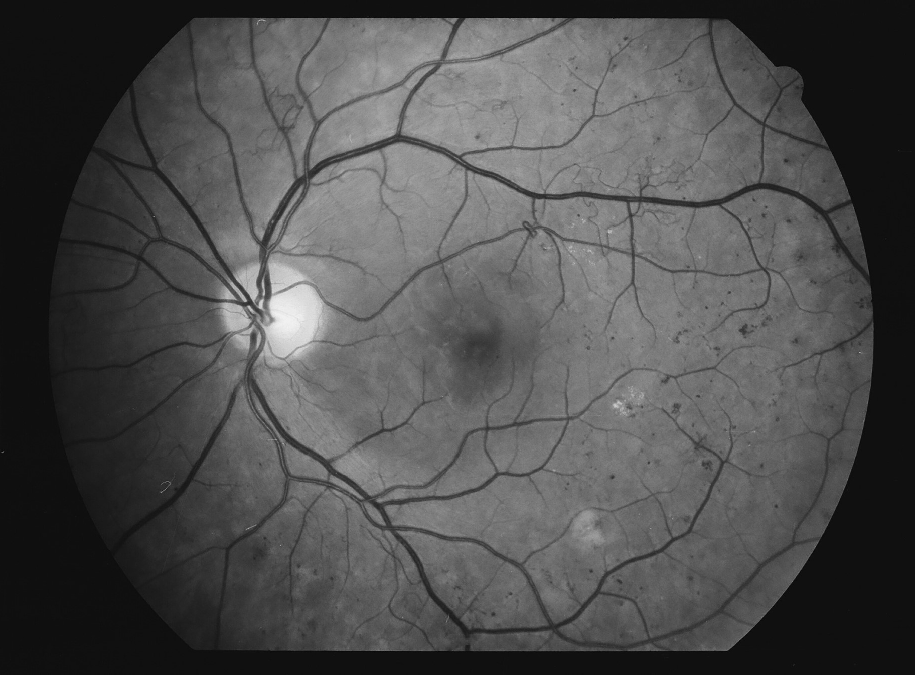
Kuva 4.

Diabetes, taustaretinopatia, oikea silmä. Pari mikroaneurysmaa ja näköhermon pään yläpuolella liekkimäinen verenvuoto.

Kuva 5.

Diabetes, taustaretinopatia, oikea silmä. Mikroaneurysmia, pieniä vuotoja ja lipidieksudaattia.

Kuva 6.

Diabetes, taustaretinopatia, oikea silmä. Mikroaneurysmia, mikroinfarkteja, vuotoja ja lipidieksudaattia.

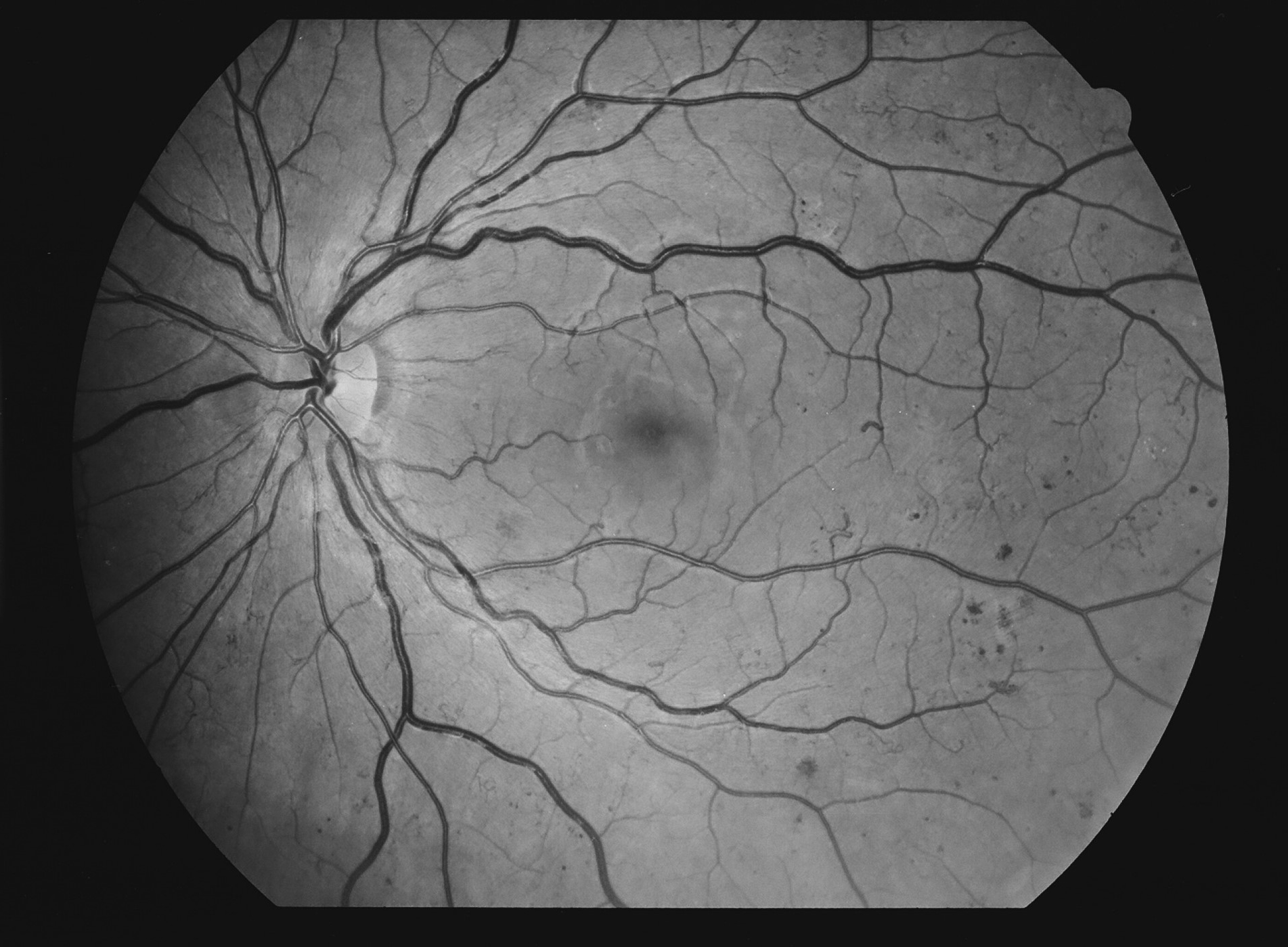
Kuva 7.

Diabetes, taustaretinopatia, vasen silmä. Mikroaneurysmia, pieni mikroinfarkti.

Kuva 8.

Diabetes, proliferatiivinen retinopatia, oikea silmä. Mikroaneurysmia, mikroinfarkti, IRMA:a ja uudissuonikasvua temporaalisesti.

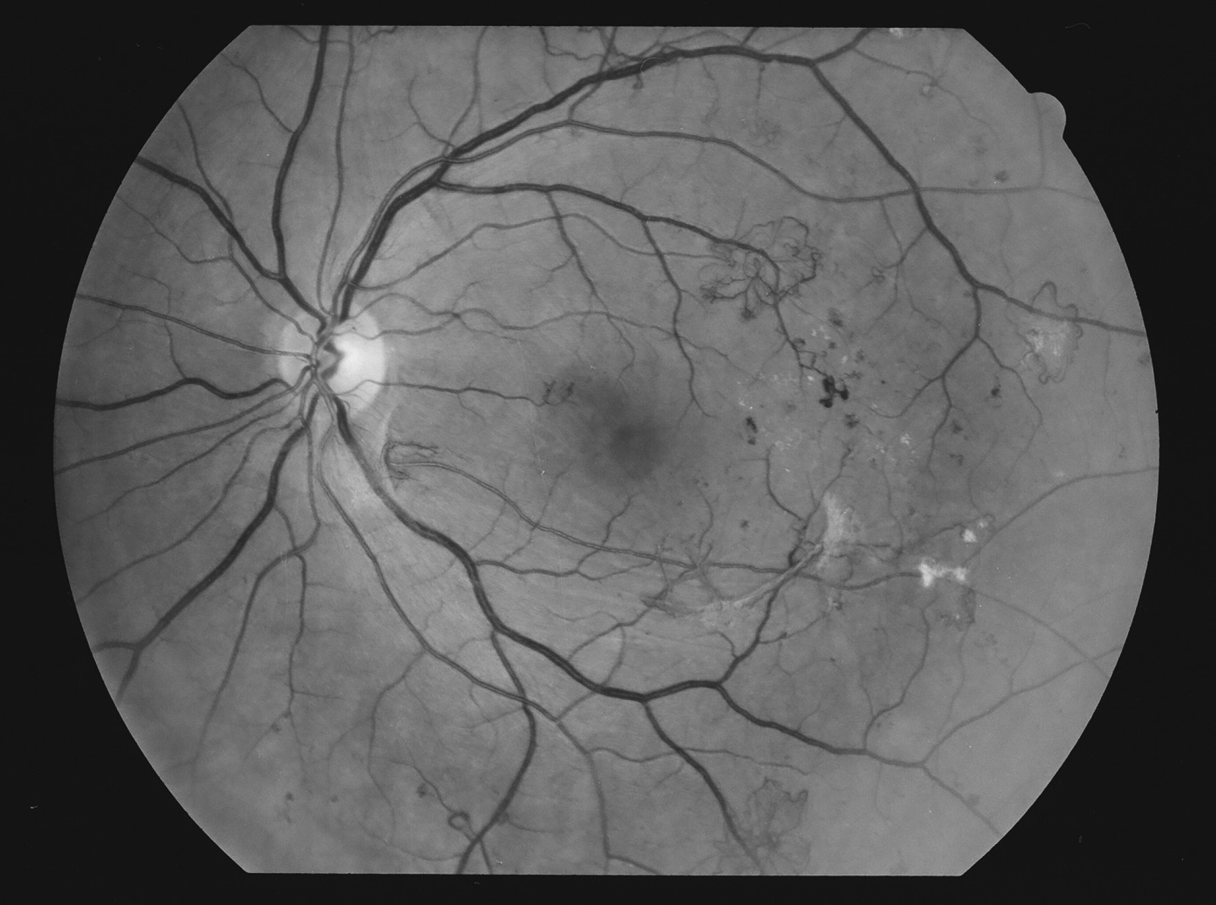
Kuva 9.

Diabetes, proliferatiivinen retinopatia, vasen silmä. Mikroaneurysmia, vuotoja, IRMA:a ja pieni uudissuoni.

Kuva 10.

Diabetes, proliferatiivinen retinopatia, makulaturvotus, oikea silmä. Mikroaneurysmia, mikroinfarkteja, vuotoja, lipidieksudaatteja, IRMA:a ja uudissuonia.

Kuva 11.

Diabetes, proliferatiivinen retinopatia, makulaturvotus, vasen silmä. Mikroaneurysmia, mikroinfarkteja, vuotoja, lipidieksudaatteja, IRMA:a ja uudissuonia.

Kuva 12.

Diabetes, proliferatiivinen retinopatia, vasen silmä. Mikroaneurysmia, vuotoja, mikroinfarkti, lipidieksudaattia ja uudissuonia.

Kuva 13.

Diabetes, proliferatiivinen retinopatia, oikea silmä. Mikroaneurysmia, vuotoja ja uudissuonia.

Kuva 14.

Diabetes, proliferatiivinen retinopatia, vasen silmä. Mikroaneurysmia, vuotoja, silmukoita laskimoissa eli laskimolenkkejä ja uudissuonia.

Kuva 15.

Diabetes, proliferatiivinen retinopatia, oikea silmä. Mikroaneurysmia, vuotoja, venopatiaa ja näköhermon keskikuopan reunalla uudissuonikasvua.

Kuva 16.

Diabetes, proliferatiivinen retinopatia, vasen silmä. Mikroaneurysmia, pieniä vuotoja, venopatiaa ja uudissuonikasvua yli näköhermon pään.

Kuva 17.

Diabetes, proliferatiivinen retinopatia, oikea silmä.

Mikroaneurysmia, vuotoja, venopatiaa, uudissuonikasvua ja fibrovaskulaarisesta muutoksesta vetoa makulaan (traktiopoimua, josta metamorfopsiaa). Verkkokalvon irtauma alanasaalisesti.

Kuva 18.

Diabetes, proliferatiivinen retinopatia, vasen silmä. Mikroaneurysmia, vuotoja, uudissuonikasvua ja fibrovaskulaarista muutosta.

Kuva 19.

Diabetes, proliferatiivinen retinopatia, oikea silmä. Mikroaneurysmia, mikroinfarkteja, vuotoja, IRMA:a ja pieni uudissuoni.

Kuva 20.

Diabetes, proliferatiivinen retinopatia, vasen silmä. Mikroaneurysmia, vuotoja, laskimolenkkejä, IRMA:a ja pieni uudissuoni.

Kuva 21.

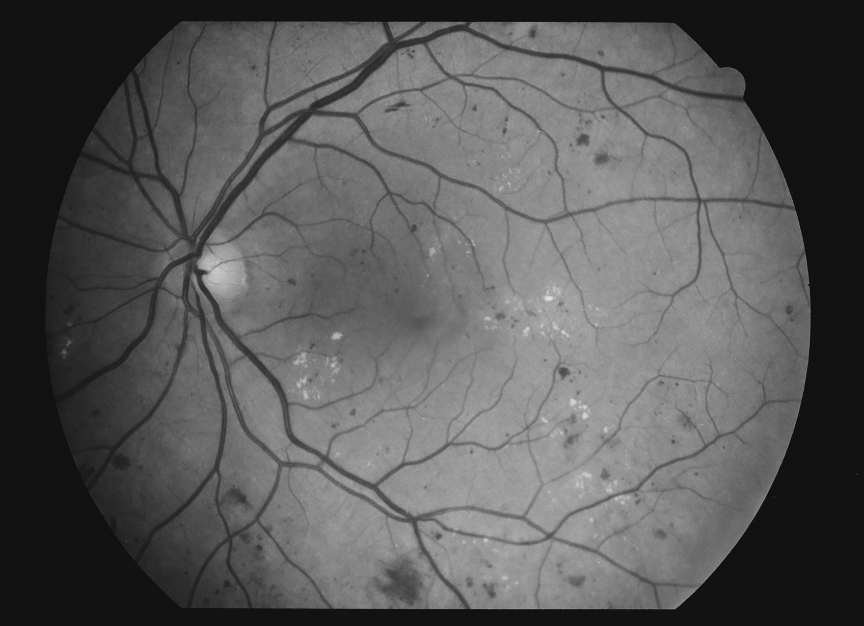
Diabetes, vaikea taustaretinopatia eli preproliferatiivinen retinopatia ja makulopatia, vasen silmä. Mikroaneurysmia, mikroinfarkteja, vuotoja, lipidieksudaatteja ja makulaturvotusta.

Kuva 22.

Diabetes, vaikea taustaretinopatia eli preproliferatiivinen retinopatia ja makulopatia, oikea silmä

Kuva 23.

Diabetes, preproliferatiivinen retinopatia ja makulopatia, vasen silmä. Mikroaneurysmia, vuotoja, lipidieksudaatteja ns. kirkinaattoina eli renkaina.

Kuva 24.

Tarkan näön alue: makula, fovea, foveola.

Taustaretinopatia

Proliferatiivinen retinopatia

Retinopatian luokittelut

Taulukko 2. Retinopatian luokittelu kansainvälisen asiantuntijapaneelin mukaan «Wilkinson CP, Ferris FL 3rd, Klein RE, ym. Propose...»6. Ks. myös aiheeseen liittyvä verkkokurssi «https://www.oppiportti.fi/op/dvk00099»1 (vaatii käyttöoikeuden), «Summanen P, Hietala K, von Wendt G. 2024. Tunnetko...»1.
Retinopatian vaikeusaste Löydökset
Ei näkyvää retinopatiaa Ei poikkeavuuksia
Lievä taustaretinopatia (ICD-10 H36.00) Ainoastaan mikroaneurysmia
Kohtalainen taustaretinopatia (ICD-10 H36.00) Enemmän kuin vain mikroaneurysmia, mutta muutoksia vähemmän kuin vaikeassa taustaretinopatiassa
Vaikea taustaretinopatia (preproliferatiivinen retinopatia) (ICD-10 H36.02) Mikä tahansa seuraavista: yli 20 verkkokalvon sisäistä verenvuotoa kaikissa neljänneksissä, selvä venopatia vähintään kahdessa neljänneksessä, huomattavia intraretinaalisia mikrovaskulaarisia muutoksia (IRMA) vähintään yhdessä neljänneksessä (eli ns. 4-2-1-sääntö). Ei merkkejä proliferatiivisesta retinopatiasta.
Proliferatiivinen retinopatia (ICD-10 H36.03 ja H36.04) Yksi tai useampi seuraavista: uudissuonia, lasiais- tai preretinaalinen verenvuoto, verkkokalvon vetoirtauma tai fibrovaskulaarinen muutos
Taulukko 3. Retinopatian tarkka luokittelu silmätautien erikoislääkäreiden käyttöön ETDRS:n (Early Treatment of Diabetic Retinopathy Study) asiantuntijapaneelin mukaan «Davis MD, Fisher MR, Gangnon RE, ym. Risk factors ...»7. Taulukon mallikuvat ovat viitteessä «Grading diabetic retinopathy from stereoscopic col...»3. Ks. myös aiheeseen liittyvä verkkokurssi «https://www.oppiportti.fi/op/dvk00099»1 (vaatii käyttöoikeuden), «Summanen P, Hietala K, von Wendt G. 2024. Tunnetko...»1.
Retinopatian vaikeusaste Löydökset
1 Valtimomuutoksia ei huomioida diabeettisen retinopatian luokittelussa eikä myöskään pelkkää laskimojen veritäyteisyyttä, joka on joskus vaikea erottaa alkavasta venopatiasta.
2 Kohtalaisen vaikeassa taustaretinopatiassa yksi 2-1-4-säännön (2 neljänneksessä vuotoja, 1 neljänneksessä venopatia, 4 neljänneksessä lievä IRMA) ehdoista täyttyy. Vaikeassa taustaretinopatiassa kaksi 2-1-4-säännön ehdoista tai yksi 4-2-1-säännön (4 neljänneksessä vuotoja, 2 neljänneksessä venopatia, 1 neljänneksessä vaikeampi IRMA) ehdoista täyttyy. Hyvin vaikeassa taustaretinopatiassa 4-2-1-säännön ehdoista kaksi täyttyy.
V/MA = vuodot ja mikroaneurysmat
IRMA = intraretinaalinen mikrovaskulaarinen muutos
VP = venopatia
NVE = uudissuoni verkkokalvossa yli papillin mitan etäisyydellä näköhermon päästä
NVD = uudissuoni papillissa tai verkkokalvossa papillin mitan säteellä näköhermon päästä
LV = lasiaisvuoto
PPA = papillin pinta-ala
PRV = preretinaalinen verenvuoto
Ei retinopatiaa Ei diabeteksen aiheuttamia muutoksia1
Hyvin lievä taustaretinopatia Ainoastaan mikroaneurysmia
Lievä taustaretinopatia Mikroaneurysmien lisäksi lipidikertymiä, mikroinfarkteja ja vuotoja (lievät V/MA:t eli ≤ mallikuva 1)
Kohtalainen taustaretinopatia Kohtalaiset V/MA:t (> mallikuva 1) kaikissa neljänneksissä tai runsaat muutokset (≥ mallikuva 2A) yhdessä neljänneksessä tai
lievä IRMA (mallikuva 8A) 1–3 neljänneksessä
Kohtalaisen vaikea taustaretinopatia Edelliset löydökset tai jokin seuraavista:
Runsaat V/MA:t (≥ mallikuva 2A) 2–3 neljänneksessä
VP yhdessä neljänneksessä
Lievä IRMA (mallikuva 8A) kaikissa neljänneksissä2
Vaikea taustaretinopatia Kaksi edellä mainituista löydöksistä tai jokin seuraavista:
Runsaat V/MA:t (≥ mallikuva 2A) kaikissa neljänneksissä
VP vähintään kahdessa neljänneksessä
Kohtalainen tai vakava IRMA (mallikuva 8B) vähintään yhdessä neljänneksessä2
Hyvin vaikea taustaretinopatia Vähintään 2 vaikean taustaretinopatian ehdoista
Lievä proliferatiivinen retinopatia NVE < 0,5 PPA yhdessä tai useammassa neljänneksessä
Kohtalainen proliferatiivinen retinopatia NVE ≥ 0,5 PPA tai
NVD < 0,25–0,33 PPA (< mallikuva 10A)
Vaikea proliferatiivinen retinopatia (vaikea-asteisen näön menetyksen suuren vaaran merkit) NVD ≥ 0,25–0,33 PPA (≥ mallikuva 10A)
Kohtalainen proliferatiivinen retinopatia ja LV tai PRV
Vähintään 1 PPA:n suuruisen alueen peittävä LV tai PRV
Pitkälle edennyt proliferatiivinen retinopatia Lasiaisvuoto peittää silmänpohjaa, eikä uudissuonia pystytä arvioimaan tai verkkokalvo on irti makulan keskiosassa
Kuva 25.

Taustaretinopatian eteneminen vaikeaksi proliferatiiviseksi retinopatiaksi. Taustaretinopatian eteneminen vaikeaksi proliferatiiviseksi retinopatiaksi liittyy taustaretinopatian asteeseen (Fundus photographic risk factors for progression of diabetic retinopathy. Ophthalmology 1991;98:823-3; Davis MD ym. Invest Ophthalmol Vis Sci 1998;39:233-52).

© Suomalainen Lääkäriseura Duodecim

Makulopatia

Taulukko 4. Makulaturvotuksen vaikeusasteen luokittelu kansainvälisen asiantuntijapaneelin mukaan «Wilkinson CP, Ferris FL 3rd, Klein RE, ym. Propose...»6. Ks. myös verkkokurssi «https://www.oppiportti.fi/op/dvk00099»1(vaatii käyttöoikeuden), «Summanen P, Hietala K, von Wendt G. 2024. Tunnetko...»1.
Vaikeusaste Löydökset (kuva «Tarkan näkemisen alue»24)
Ei makulaturvotusta Ei verkkokalvon turvotusta eikä lipidikertymiä temporaalisten suoniarkadien välisellä alueella
Makulaturvotus (ICD-10 H36.01) Verkkokalvon turvotusta ja lipidikertymiä temporaalisten suoniarkadien välisellä alueella
lievä Verkkokalvo turvonnut tai lipidikertymiä temporaalisten suoniarkadien välisellä alueella, ei kuitenkaan lähellä makulan keskiosaa eli foveaa
kohtalainen Verkkokalvon turvotusta tai lipidikertymiä, jotka lähenevät foveaa mutta eivät ulotu siihen
vaikea Verkkokalvon turvotus tai lipidikertymät foveassa
Kuva 26.

Kliinisesti merkittävä diabeettinen makulaturvotus.

Patogeneesi

Esiintyvyys

Tyyppi 1

Tyyppi 2

Monogeeninen diabetes (MODY)

Riskitekijät

Riskitekijät, joihin voidaan vaikuttaa

Verenglukoosin hoitotasapaino

Verenpainetaso

Dyslipidemia

Muut

Riskitekijöitä, joihin ei voida vaikuttaa

Suojaavat tekijät

Diagnostiikka ja erotusdiagnostiikka

  • Diabeettisen retinopatian diagnostiikka perustuu silmänpohjan kliiniseen tutkimukseen tai arvioon silmänpohjakuvista.
  • Muutokset eivät ole spesifisiä, vaan monet muut verkkokalvon verisuonia vaurioittavat tilat (verenpainetauti, tulehdukset, veritaudit) aiheuttavat samanlaisia muutoksia. Laskimopuolen verenkiertohäiriöt (keskus- tai haaralaskimotukos) ovat näistä yleisimpiä.
  • Diabeettisen makulopatian osalta on hyvä muistaa kostean silmänpohjan ikärappeuman mahdollisuus, varsinkin jos makulassa on suuria, pehmeitä druseneita, muutoksia on vain makulassa tai silmien välillä on epäsymmetria.
  • Makulan pienen laskimon tukos voi aiheuttaa paikallisen turvotuksen, vuotoja ja mikroaneurysmia.
  • Keskiperiferian pyörövuodot diabeettisen retinopatian muutosten kanssa (yleensä ns. takapoolin alueella ja sen läheisyydessä) tai yksin ovat tyyppimuutos kaulavaltimotaudin aiheuttamasta silmän iskemiasta, joka voi aiheuttaa myös uudissuonikasvua silmän etuosaan (värikalvolle tai kammiokulmaan), silmän takaosaan verkkokalvolle tai näköhermon päähän. Toispuoleinen uudissuonikasvu iäkkäällä onkin mahdollisesti okulaarisen iskeemisen oireyhtymän tai vaikean keskuslaskimotukoksen ilmentymä eikä diabeettista retinopatiaa.
  • Retinopatiamuutokset ovat useimmiten pitkään oireettomia.
    • Oireettomuus ei kerro retinopatian puuttumisesta.
    • Diabeettinen retinopatia täyttää kaikki seulottavalle tilalle asetetut vaatimukset, joten kaikkien diabetesta sairastavien silmänpohjat tulee tutkia määrävälein. Ks. Seulonta ja seuranta «A1»2.
  • Jos potilaalla on alla mainittuja oireita, hänet tulee tutkia ja ohjata silmätautien erikoislääkärin tutkimuksiin.
    • Keskeisen näön heikkeneminen, viivojen vääristyminen tai kuvakoon muutokset viittaavat makulaturvotukseen.
    • Nokisade tai äkillisesti ilmaantuneet runsaat heiluvat samentumat näkökentässä voivat liittyä lasiaisverenvuotoon.
    • Näön äkillinen heikkeneminen voi johtua tiiviistä lasiaisverenvuodosta, verkkokalvon laaja-alaisesta irtaumasta tai verenkiertohäiriöstä verkkokalvolla tai näköhermossa.
    • Voimakas silmäkipu saattaa aiheutua vaikea-asteisen retinopatian seurauksena kehittyneestä uudissuoniglaukoomasta.
    • Tylppä silmäkipu (okulaarinen angiina) viittaa silmän iskemiaan, jonka yleisin syy on kaulavaltimon ahtauttava ateroskleroosi. Okulaarinen iskeeminen oireyhtymä on edelleen alidiagnosoitu tila, joka tulee pitää mielessä erityisesti iäkkään monisairaan (makrovaskulaaritaudit) potilaan kohdalla.
  • Näön äkillinen menetys tai voimakas silmäkipu saa potilaan ottamaan yhteyttä päivystysyksikköön. Ennen potilaan lähettämistä eteenpäin tulee konsultoida puhelimitse päivystävän silmäyksikön lääkäriä.

Kliininen tutkimus

  • Silmänpohjat tutkitaan niin, että mustuaiset ovat hyvin laajennetut.
  • Biomikroskopia ja tarvittaessa gonioskopia tehdään ennen mustuaisten laajennusta.
    • Värikalvon ja kammiokulman uudissuonet tulee huomioida.
  • Suora oftalmoskopia ei ole luotettava eikä riittävä tutkimuskeino.
  • Biomikroskooppitutkimus on stereoskooppinen, joten sillä on mahdollista todeta verkkokalvon turvotus.
    • Riittävä suurennus on välttämätön. Vihersuodinta kannattaa käyttää myös biomikroskooppitutkimuksessa.
  • Ensimmäisessä tutkimuksessa ja ajoittain on tärkeää tarkastaa myös verkkokalvon reunaosat muiden silmänpohjasairauksien toteamiseksi (epäsuora oftalmoskopia tai vastaava menetelmä).
  • Makulaturvotuksen diagnoosi perustuu OCT-tutkimuksen löydöksiin «Optinen koherenssitomografia (OCT) diabeettisen makulopatian kuvantamisessa»1.
  • Valokuvausta käytetään seulonnassa ja seurannassa, ja kuvia tulee ottaa kliinisessä tutkimuksessa todettujen löydösten dokumentoimiseksi, jolloin ne tehostavat seurantaa.
  • Mahdollisesti tarvittavia lisätutkimuksia:
    • Fluoreseiiniangiografiaa voidaan tarvita makulaturvotuksen laserhoitomahdollisuuksien arvioimiseksi (fovean avaskulaarisen alueen laajuus ja mikroaneurysmien ja muiden tihkumiskohtien sijainti ja tihkuminen). Sen tarve on viime vuosina vähentynyt, ja nykyisin OCT-A antaa vastaavaa tietoa rakenteellisista, mutta ei toiminnallista muutoksista.
    • Kaikututkimus on tarpeen verkkokalvon tilan selvittämiseksi, kun silmänpohjaan ei ole näkyvyyttä.
  • Laboratoriotutkimukset eivät auta diabeettisen retinopatian toteamisessa.

Seulonta ja seuranta

Seulonnan ja seurannan toteutus

Kuvakentät

Kuva 27.

Diabetes, 45 asteen kentän ulkopuolelle jäänyt uudissuoni

OCT

Vastuu löydösten tulkinnasta

Erityisryhmien tutkiminen

  • Seulontakuvaukseen osallistuminen edellyttää hyvää kooperaatiokykyä: usean minuutin paikallaan oloa (istumista kameran ääressä), silmien aukipitämistä ja katseen kohdistamista.
  • Potilaille ei ole seulontajärjestelmässä asetettu yläikärajaa. Kuvauksen epäonnistumisen riski kuitenkin suurenee iän myötä. Tavallisesti syynä on harmaakaihi tai huonosti laajeneva mustuainen.
    • Näöntarkkuus ja punaheijaste tulee tutkia seulontaa harkittaessa ikääntyneillä potilailla.
    • Silmänpohjan kuvauksella ei voida luotettavasti sulkea pois muita iän myötä lisääntyviä silmäsairauksia.
  • Jos kuvista ei ole mahdollista tehdä päätelmiä verkkokalvon tilasta, potilas voidaan lähettää silmätautien erikoislääkärin kliiniseen tutkimukseen.
Taulukko 5. Vastuu löydösten tulkinnasta.
Toimija Tehtävä
Ensivaiheen tulkitsija
  • kuvaaja (terveydenhuollon ammattilainen, esim. hoitaja, optometristi, optikko)
  • diabeteksen hoidosta vastaava lääkäri
  • diabeteshoitaja
  • joku muu tehtävään koulutettu henkilö
Toisen vaiheen tulkitsija
  • silmätautien erikoislääkäri (mielellään diabeettiseen retinopatiaan perehtynyt)
  • Tulkitsee kuvat, joissa on lievää vaikeampia retinopatiamuutoksia, ja ne, joiden tulkinta on vaikeaa esim. kaihin tai lasiaissamentumien johdosta tai joissa on muita kuin diabetekseen liittyviä muutoksia (esim. epäily glaukoomasta, kosteasta ikärappeumasta tai muusta verisuonisairaudesta).
  • Antaa ohjeita seuraavan kuvauksen ajankohdasta ja muista mahdollisista jatkotutkimuksista tai lähettää potilaan tutkimuksiin ja hoitoon.
  • Toimii konsulttina kuvauksiin liittyvissä asioissa, vastaa toiminnasta.

Ehkäisy

  • Diabeettinen retinopatia ei ole väistämätön elinmuutos, vaan sen ilmaantumiseen ja etenemiseen voidaan vaikuttaa pyrkimällä hyvään glukoositasapainoon ja verenpainetasoon ja vaikuttamalla dyslipidemiaan. Diabetesta sairastavan hoito on moniammatillista yhteistyötä, jossa elintapaohjauksella on suuri merkitys.

Verenglukoosin hoitotasapaino

Verenpaineen hoito

Dyslipidemian hoito

Hoito

  • Näköä uhkaavalla retinopatialla tarkoitetaan vaikea-asteista taustaretinopatiaa, makulaturvotusta ja proliferatiivista retinopatiaa.
  • Diabeettisesta retinopatiasta aiheutuva vaikea-asteinen näkövamma voidaan useimmiten estää.

Makulaturvotus

Kuva 28.

Diabetes, taustaretinopatia ja makulaturvotus hävinnyt (itsestään) seurannassa, alueellinen laserhoito, oikea silmä vrt. kuva «Diabetes, taustaretinopatia, oikea silmä»6

Makulaturvotuksen lääkehoito

Kuva 29.

DME - Lääkehoitokaavio.

Silmätipat

Makulaturvotuksen laserhoito

Kuva 30.

Diabetes, vaikea taustaretinopatia ja makulopatia laserhoidon jälkeen, oikea silmä vrt. «Diabetes, vaikea taustaretinopatia eli preproliferatiivinen retinopatia ja makulopatia, oikea silmä»22

Kuva 31.

Diabetes, vaikea taustaretinopatia ja makulaturvotuksen paikallinen laserhoito seurannassa, vasen silmä vrt. «Diabetes, vaikea taustaretinopatia eli preproliferatiivinen retinopatia ja makulopatia, vasen silmä»21

Vaikea taustaretinopatia, proliferatiivinen retinopatia ja uudissuoniglaukooma (myös uhkaava)

Vaikean proliferatiivisen retinopatian ja uudissuoniglaukooman (myös uhkaavan) laserhoito

Vaikeaa lievemmän proliferatiivisen retinopatian laserhoito

Vaikean taustaretinopatian laserhoito

Kuva 32.

Diabetes, vaikea taustaretinopatia ja proliferatiivinen retinopatia laserhoidon hajalaserhoidon jälkeen, oikea silmä vrt. «Diabetes, proliferatiivinen retinopatia, oikea silmä»19

Anti-VEGF-lääkkeet proliferatiivisen retinopatian hoidossa

Pistoshoitojen ja laserhoitojen vertailua

  • Laserhoidon vaikutus alkaa välittömästi eikä häviä. Hoitoa voidaan jatkaa vuosienkin kuluttua, mikäli on tehty alueellinen, sektoraalinen tai niin sanottu keskiperiferian hoito ja uudissuonikasvua todetaan aiemmin hoidettujen alueiden ulkopuolella.
  • Anti-VEGF-hoidon vaikutus uudissuoniin on ohimenevä, jolloin hoidon tahaton tai tahallinen keskeytyminen voi johtaa proliferatiivisen retinopatian etenemiseen vakavine seuraamuksineen «Obeid A, Su D, Patel SN, ym. Outcomes of Eyes Lost...»205, «Wubben TJ, Johnson MW, Anti-VEGF Treatment Interru...»207.
  • Tästä syystä esimerkiksi Yhdistyneiden kuningaskuntien päivitetyssä hoitosuosituksessa laserhoito on proliferatiivisen retinopatian ensisijainen hoito ("the choice of treatment") «Amoaku WM, Ghanchi F, Bailey C, ym. Diabetic retin...»208.
  • Ekologiset seikat, joita on alettu huomioida sairaaloiden toiminnassa, puoltavat laserhoitoa, josta ei aiheudu muovi- ja muuta jätettä.

Lasiaisverenvuodon tai verkkokalvon irtauman kirurginen hoito

Hoidon jälkeinen seuranta

  • Jos käytössä on tehokas valokuvausmenetelmä, osa seurantatutkimuksista voidaan toteuttaa sen avulla.
  • Uudissuonten toteamiseksi tulee ottaa kuvia myös tavanomaisen kuvauskentän ulkopuolelta.
  • Kuvausväli täysin rauhallisen panretinaalisen laserhoidon jälkeen, kun tilanne on pysynyt rauhallisena 2–3 vuotta hoidon päättymisestä, voi olla yli 2 vuotta. Kliininen tutkimus aika ajoin on suositeltavaa.
  • Keskeisen makulaturvotuksen jälkeinen seuranta kuuluu silmälääkärille, jos hoidon jälkeen on jäänyt niin sanottua jäännösturvotusta.
    • Jos keskeinen turvotus on täysin parantunut, seuraaminen kuvaamalla on mahdollista.
  • Jos potilaalla on jokin muu silmätautien erikoislääkärin seurantaa vaativa silmäsairaus, jonka vuoksi silmänpohjat tutkitaan, tieto tutkimustuloksista on syytä välittää diabetesta hoitavaan yksikköön, jolloin silmänpohjatutkimus toimii määräaikaistarkastuksena.

Näkövammaisuus

Diabetesta sairastavan näkövammaisen kuntoutus

  • Kuntoutus on osa näkövammautuneen diabetesta sairastavan hyvää hoitoa. Sen tavoitteena on tukea henkilön mahdollisuuksia osallistua täysipainoiseen elämään sairauden aiheuttamista toiminnanrajoituksista huolimatta.
  • Näkövammaisen kuntoutuksessa etsitään ratkaisuja heikentyneen näön tuomiin ongelmiin arkielämässä ja työssä.
    • Kuntoutujaa ohjataan selviämään päivittäisistä toimista mahdollisimman itsenäisesti ja sopeutumaan näkövamman tuomaan elämänmuutokseen.
    • Häntä ohjataan käyttämään apuvälineitä tiedonhankinnassa ja kommunikoinnissa sekä hyödyntämään jäljellä olevaa näköään ja muita aistejaan toiminnassaan, kuten liikkumisessa, oppimisessa, lukemisessa ja arkiaskareiden tekemisessä.
  • Tärkeä osa kuntoutumista on kuntoutujan aktiivinen osallistuminen ja sitoutuminen kuntoutusprosessiin.

Oikea-aikaista kuntoutusta

Apuvälineet, sopeutumisvalmennus ja ammatillinen kuntoutus

Kuntoutuksen järjestämisvastuut

  • Lääkinnällisestä kuntoutuksesta vastaa ensisijaisesti julkinen terveydenhuolto.
  • Kansaneläkelaitos (Kela) järjestää harkinnanvaraista työ- ja toimintakykyä ylläpitävää kuntoutusta ja vaativaa lääkinnällistä kuntoutusta alle 65-vuotiaille. Vajaakuntoisten ammatillisen kuntoutuksen pääasiallisina järjestäjinä ovat työeläkelaitokset ja Kela.
  • Päävastuu lääkinnällisen kuntoutuksen apuvälinepalvelusta kuuluu hyvinvointialueille. Näönkuntoutuksen palvelut on pääosin keskitetty keskussairaaloiden silmäyksiköihin.
    • Sosiaali- ja terveysministeriö on julkaissut Valtakunnalliset lääkinnällisen kuntoutuksen apuvälineiden luovutusperusteet «Valtakunnalliset lääkinnällisen kuntoutuksen apuvä...»233. Näkövammaisen apuvälineitä myönnetään asiakirjassa kuvattujen linjausten mukaan.
    • Erityisen vaativat ja kalliit henkilökohtaiset apuvälineet, kuten elektroniset lukulaitteet ja tietokoneen lisälaitteet ja -ohjelmat, ovat erikoissairaanhoidon vastuulla.
    • Kalliit ja vaativat työhön tai opiskeluun tarvittavat apuvälineet ovat Kelan vastuulla.
  • Erikoissairaanhoitoon tarvitaan lääkärin lähete. Apuvälinepalvelujen piiriin voi joissakin tapauksissa ohjautua myös muun terveydenhuollon ammattihenkilön suosituksen perusteella.
  • Työeläkelaitosten ja Kelan tuottamia palveluita varten tarvitaan yleensä B-lausunto. Vaativaa kuntoutusta haettaessa tarvitaan kuntoutussuunnitelma, joka on työryhmän (lääkäri, kuntoutuja ja esim. kuntoutusohjaaja) yhdessä laatima.
  • Lisätietoja taloudellisista etuuksista saa oman sairaalan kuntoutusohjaajalta, Kansaneläkelaitoksen paikallistoimistosta tai Näkövammaisten liitosta.

Suomalaisen Lääkäriseuran Duodecimin, Suomen Silmälääkäriyhdistyksen ja Diabetesliiton lääkärineuvoston asettama työryhmä

Diabeettinen retinopatia -suosituksen historiatiedot «Diabeettinen retinopatia, Käypä hoito -suosituksen historiatiedot»21

Puheenjohtaja:

Paula Summanen, LKT, dosentti, silmätautien erikoislääkäri (Suomen Lääkäriliiton myöntämä diabeteksen hoidon ja silmäkirurgian erityispätevyys), osastonylilääkäri; HUS Pää- ja kaulakeskus, Silmätaudit ja Helsingin kaupunki, diabeettisen retinopatian seulonta- ja seurantakuvauksen vastuulääkäri

Kokoava kirjoittaja:

Jorma Komulainen, LT, dosentti, lastentautien ja lastenendokrinologian erikoislääkäri (Suomen Lääkäriliiton myöntämä diabeteksen hoidon erityispätevyys), päätoimittaja; Suomalainen Lääkäriseura Duodecim, Käypä hoito -toimittaja

Jäsenet:

Nina Hautala, LT, dosentti, silmätautien erikoislääkäri, silmätautiopin professori, ylilääkäri; Oulun yliopisto ja Oulun yliopistollinen sairaala

Kustaa Hietala, LT, silmätautien erikoislääkäri (Suomen Lääkäriliiton myöntämä silmäkirurgian erityispätevyys), osastonylilääkäri; Keski-Suomen keskussairaala

Kati Kinnunen, LT, dosentti, silmätautien erikoislääkäri, arviointiylilääkäri; Kuopion yliopistollinen sairaala

Minna Kumpula, LL, silmätautien erikoislääkäri; Turun yliopistollinen keskussairaala

Asiantuntijat:

Henna Cederberg-Tamminen, LT, dosentti, endokrinologian erikoislääkäri (Suomen Lääkäriliiton myöntämä diabeteksen hoidon erityispätevyys), HUS Vatsakeskus 20.8.2023 saakka, sen jälkeen Novo-Nordisk Oy; osallistunut työryhmän toimintaan 20.8.2023 asti

Lars Eriksson, LL, yleislääketieteen erikoislääkäri; Lohjan terveyskeskus

Aura Falck, LT, dosentti, silmätautien erikoislääkäri; Oulun yliopistollinen sairaala

Sidonnaisuudet

Sidonnaisuusilmoitukset on kerätty 11.6.2024 julkaistun suosituksen laatimisen yhteydessä.

Nina Hautala: Sivutoimet: ylilääkäri; OYS silmätaudit. Koulutus-, konsultointi- ja asiantuntijatoimintaa: Bayer, Roche, Santen, Thea, Optomed, iCare. Korvaukset kongressi- ja seminaarikuluista: Abbvie. Luottamustoimet terveydenhuollon alalla: Diabetesliiton lääkärineuvosto, Oulun Duodecim-seuran johtoryhmä.

Kustaa Hietala: Sivutoimet: silmälääkäri; Silmäterä Oy.

Kati Kinnunen: Sivutoimet: silmätautien erikoislääkäri; Kuopion yliopistollinen sairaala. Luottamustoimet terveydenhuollon alalla: terveyspoliittisen valiokunnan jäsen, Pohjois-Savon YTA, Lääkäriliitto. Muut sidonnaisuudet: 50 %:n omistusosuus silmälääkäripalveluita tarjoavasta Visionit Oy:stä.

Jorma Komulainen: Luottamustoimet terveydenhuollon alalla: Väestöliiton hallituksen jäsen (2017–2022); ITLAn hallituksen varajäsen (2018–2020); Kasvun tuki -aikakausjulkaisun tieteellisen neuvottelukunnan jäsen. Ohjaushankkeet: STM: Palveluvalikoimaneuvoston pysyvä asiantuntija ja Kuntoutukseen ohjautumisen perusteet -ohjausryhmän jäsen (2020–2022), Fimea: Lääkeinformaatioverkoston ohjausryhmän jäsen. Muut sidonnaisuudet: Potilaat mukaan Käypä hoito -suositusten laatimiseen -hanke, työnantajalle rahoitus, rahoittajana STEA; PROSHADE, työnantajalle rahoitus, rahoittajana STN; ITLA, hallituksen varajäsen (vuoden 2021 loppuun saakka); ITLA, Kasvun tuki -aikakausjulkaisun toimitusneuvoston jäsen.

Minna Kumpula: Sivutoimet: Silmäasema, julkiset silmäterveyspalvelut; Helsinki. Koulutus-, konsultointi- ja asiantuntijatoimintaa: Abbvie, Bayer, Novartis, Santen, Thea, Roche. Korvaukset kongressi- ja seminaarikuluista: Alcon, Abbvie, Bayer, Novartis, Santen, Thea, Roche. Muut sidonnaisuudet: Väitöskirjatutkimuksen osatyössä käytän Optomedin kameraa, mutta en ole saanut yritykseltä taloudellista tukea.

Paula Summanen:Koulutus-, konsultointi- ja asiantuntijatoimintaa: tekijänpalkkioita Kustannusosakeyhtiö Duodecimilta 2019–2024. Luottamustoimet terveydenhuollon alalla: Käypä hoito, Diabeettinen retinopatia -työryhmän puheenjohtaja; Käypä hoito, Diabetes-neuvottelukunnan jäsen. Muut sidonnaisuudet: Orion Oyj:n ja Revenio Oyj:n osakkeita.

Kirjallisuusviite

Diabeettinen retinopatia. Käypä hoito -suositus. Suomalaisen Lääkäriseuran Duodecimin, Suomen Silmälääkäriyhdistyksen ja Diabetesliiton lääkärineuvoston asettama työryhmä. Helsinki: Suomalainen Lääkäriseura Duodecim, 2024 (viitattu pp.kk.vvvv). Saatavilla internetissä: www.kaypahoito.fi

Tarkemmat viittausohjeet: «http://www.kaypahoito.fi/web/kh/viittaaminen»3

Vastuun rajaus

Käypä hoito -suositukset ja Vältä viisaasti -suositukset ovat asiantuntijoiden laatimia yhteenvetoja yksittäisten sairauksien diagnostiikan ja hoidon vaikuttavuudesta. Suositukset toimivat lääkärin tai muun terveydenhuollon ammattilaisen päätöksenteon tukena hoitopäätöksiä tehtäessä. Ne eivät korvaa lääkärin tai muun terveydenhuollon ammattilaisen omaa arviota yksittäisen potilaan parhaasta mahdollisesta diagnostiikasta, hoidosta ja kuntoutuksesta hoitopäätöksiä tehtäessä.

Tiedonhakukäytäntö

Systemaattinen kirjallisuushaku on hoitosuosituksen perusta. Lue lisää artikkelista khk00007

Kirjallisuutta

  1. Summanen P, Hietala K, von Wendt G. 2024. Tunnetko diabeettisen retinopatian? Duodecim Oppiportti. Artikkelin tunnus: dvk00099. Kustannus Oy Duodecim. Viitattu 11.11.2023. Vaatii käyttöoikeuden.
  2. Early photocoagulation for diabetic retinopathy. ETDRS report number 9. Early Treatment Diabetic Retinopathy Study Research Group. Ophthalmology 1991;98(5 Suppl):766-85 «PMID: 2062512»PubMed
  3. Grading diabetic retinopathy from stereoscopic color fundus photographs--an extension of the modified Airlie House classification. ETDRS report number 10. Early Treatment Diabetic Retinopathy Study Research Group. Ophthalmology 1991;98(5 Suppl):786-806 «PMID: 2062513»PubMed
  4. Caird FI, Burditt AF, Draper GJ. Diabetic retinopathy. A further study of prognosis for vision. Diabetes 1968;17(3):121-3 «PMID: 5638572»PubMed
  5. Deckert T, Simonsen SE, Poulsen JE. Prognosis of proliferative retinopathy in juvenile diabetics. Diabetes 1967;16(10):728-33 «PMID: 6066644»PubMed
  6. Wilkinson CP, Ferris FL 3rd, Klein RE, ym. Proposed international clinical diabetic retinopathy and diabetic macular edema disease severity scales. Ophthalmology 2003;110(9):1677-82 «PMID: 13129861»PubMed
  7. Davis MD, Fisher MR, Gangnon RE, ym. Risk factors for high-risk proliferative diabetic retinopathy and severe visual loss: Early Treatment Diabetic Retinopathy Study Report #18. Invest Ophthalmol Vis Sci 1998;39(2):233-52 «PMID: 9477980»PubMed
  8. Photocoagulation for diabetic macular edema. Early Treatment Diabetic Retinopathy Study report number 1. Early Treatment Diabetic Retinopathy Study research group. Arch Ophthalmol 1985;103(12):1796-806 «PMID: 2866759»PubMed
  9. Karatas M, Ramirez JA, Ophir A. Diabetic vitreopapillary traction and macular oedema. Eye (Lond) 2005;19(6):676-82 «PMID: 15359258»PubMed
  10. Tranos PG, Wickremasinghe SS, Stangos NT, ym. Macular edema. Surv Ophthalmol 2004;49(5):470-90 «PMID: 15325193»PubMed
  11. Henricsson M, Nilsson A, Groop L, ym. Prevalence of diabetic retinopathy in relation to age at onset of the diabetes, treatment, duration and glycemic control. Acta Ophthalmol Scand 1996;74(6):523-7 «PMID: 9017034»PubMed
  12. Rossing K, Jacobsen P, Rossing P, ym. Improved visual function in IDDM patients with unchanged cumulative incidence of sight-threatening diabetic retinopathy. Diabetes Care 1998;21(11):2007-15 «PMID: 9802759»PubMed
  13. Klein R, Klein BE, Moss SE, ym. The Wisconsin epidemiologic study of diabetic retinopathy. II. Prevalence and risk of diabetic retinopathy when age at diagnosis is less than 30 years. Arch Ophthalmol 1984;102(4):520-6 «PMID: 6367724»PubMed
  14. Hautala N, Hannula V, Palosaari T, ym. Prevalence of diabetic retinopathy in young adults with type 1 diabetes since childhood: the Oulu cohort study of diabetic retinopathy. Acta Ophthalmol 2014;92(8):749-52 «PMID: 24862935»PubMed
  15. Klein R, Klein BE, Moss SE, ym. The Wisconsin epidemiologic study of diabetic retinopathy. IV. Diabetic macular edema. Ophthalmology 1984;91(12):1464-74 «PMID: 6521986»PubMed
  16. Klein R, Knudtson MD, Lee KE, ym. The Wisconsin Epidemiologic Study of Diabetic Retinopathy XXIII: the twenty-five-year incidence of macular edema in persons with type 1 diabetes. Ophthalmology 2009;116(3):497-503 «PMID: 19167079»PubMed
  17. Hovind P, Tarnow L, Rossing K, ym. Decreasing incidence of severe diabetic microangiopathy in type 1 diabetes. Diabetes Care 2003;26(4):1258-64 «PMID: 12663607»PubMed
  18. Nordwall M, Bojestig M, Arnqvist HJ, ym. Declining incidence of severe retinopathy and persisting decrease of nephropathy in an unselected population of Type 1 diabetes-the Linköping Diabetes Complications Study. Diabetologia 2004;47(7):1266-1272 «PMID: 15235773»PubMed
  19. Rossing P. The changing epidemiology of diabetic microangiopathy in type 1 diabetes. Diabetologia 2005;48(8):1439-44 «PMID: 15986235»PubMed
  20. Liew G, Wong VW, Ho IV. Mini Review: Changes in the Incidence of and Progression to Proliferative and Sight-Threatening Diabetic Retinopathy Over the Last 30 Years. Ophthalmic Epidemiol 2017;24(2):73-80 «PMID: 28102748»PubMed
  21. Kytö JP, Harjutsalo V, Forsblom C, ym. Decline in the cumulative incidence of severe diabetic retinopathy in patients with type 1 diabetes. Diabetes Care 2011;34(9):2005-7 «PMID: 21868777»PubMed
  22. Yau JW, Rogers SL, Kawasaki R, ym. Global prevalence and major risk factors of diabetic retinopathy. Diabetes Care 2012;35(3):556-64 «PMID: 22301125»PubMed
  23. Tapp RJ, Shaw JE, Harper CA, ym. The prevalence of and factors associated with diabetic retinopathy in the Australian population. Diabetes Care 2003;26(6):1731-7 «PMID: 12766102»PubMed
  24. Liu Y, Wang M, Morris AD, ym. Glycemic exposure and blood pressure influencing progression and remission of diabetic retinopathy: a longitudinal cohort study in GoDARTS. Diabetes Care 2013;36(12):3979-84 «PMID: 24170761»PubMed
  25. Voutilainen-Kaunisto R, Teräsvirta M, Uusitupa M, ym. Maculopathy and visual acuity in newly diagnosed type 2 diabetic patients and non-diabetic subjects: a 10-year follow-up study. Acta Ophthalmol Scand 2001;79(2):163-8 «PMID: 11284755»PubMed
  26. Wong TY, Mwamburi M, Klein R, ym. Rates of progression in diabetic retinopathy during different time periods: a systematic review and meta-analysis. Diabetes Care 2009;32(12):2307-13 «PMID: 19940227»PubMed
  27. TODAY Study Group. Development and Progression of Diabetic Retinopathy in Adolescents and Young Adults With Type 2 Diabetes: Results From the TODAY Study. Diabetes Care 2021;45(5):1049-55 «PMID: 34531310»PubMed
  28. Gardner DS, Tai ES. Clinical features and treatment of maturity onset diabetes of the young (MODY). Diabetes Metab Syndr Obes 2012;5():101-8 «PMID: 22654519»PubMed
  29. Stride A, Hattersley AT. Different genes, different diabetes: lessons from maturity-onset diabetes of the young. Ann Med 2002;34(3):207-16 «PMID: 12173691»PubMed
  30. Use of Glycated Haemoglobin (HbA1c) in the Diagnosis of Diabetes Mellitus. Abbreviataed Report of a WHO Consultation. World Health Organization. 2011. http://www.who.int/en/ Siteerattu 4.6.2012.
  31. Metso S. Glykosyloitunut hemoglobiini diabeteksen diagnostiikassa. Suom Lääkäril 2011;(3):133-4 
  32. Tyypin 2 diabetes. Käypä hoito -suositus. Suomalaisen Lääkäriseuran Duodecimin, Suomen Sisätautilääkärien yhdistyksen ja Diabetesliiton Lääkärineuvoston asettama työryhmä. Helsinki: Suomalainen Lääkäriseura Duodecim, 2024 (viitattu pp.kk.vvvv). Saatavilla internetissä: www.kaypahoito.fi
  33. Kilpatrick ES, Rigby AS, Atkin SL. A1C variability and the risk of microvascular complications in type 1 diabetes: data from the Diabetes Control and Complications Trial. Diabetes Care 2008;31(11):2198-202 «PMID: 18650371»PubMed
  34. Hietala K, Wadén J, Forsblom C, ym. HbA1c variability is associated with an increased risk of retinopathy requiring laser treatment in type 1 diabetes. Diabetologia 2013;56(4):737-45 «PMID: 23314044»PubMed
  35. Early worsening of diabetic retinopathy in the Diabetes Control and Complications Trial. Arch Ophthalmol 1998;116(7):874-86 «PMID: 9682700»PubMed
  36. Roysarkar TK, Gupta A, Dash RJ, ym. Effect of insulin therapy on progression of retinopathy in noninsulin-dependent diabetes mellitus. Am J Ophthalmol 1993;115(5):569-74 «PMID: 8488908»PubMed
  37. Henricsson M, Nilsson A, Janzon L, ym. The effect of glycaemic control and the introduction of insulin therapy on retinopathy in non-insulin-dependent diabetes mellitus. Diabet Med 1997;14(2):123-31 «PMID: 9047089»PubMed
  38. ADVANCE Collaborative Group, Patel A, MacMahon S, ym. Intensive blood glucose control and vascular outcomes in patients with type 2 diabetes. N Engl J Med 2008;358(24):2560-72 «PMID: 18539916»PubMed
  39. Action to Control Cardiovascular Risk in Diabetes Study Group, Gerstein HC, Miller ME, ym. Effects of intensive glucose lowering in type 2 diabetes. N Engl J Med 2008;358(24):2545-59 «PMID: 18539917»PubMed
  40. Yapanis M, James S, Craig ME, ym. Complications of Diabetes and Metrics of Glycemic Management Derived From Continuous Glucose Monitoring. J Clin Endocrinol Metab 2022;107(6):e2221-e2236 «PMID: 35094087»PubMed
  41. Yu CW, Park LJ, Pinto A, ym. The Impact of Bariatric Surgery on Diabetic Retinopathy: A Systematic Review and Meta-Analysis. Am J Ophthalmol 2021;225():117-127 «PMID: 33428884»PubMed
  42. Patel A, ADVANCE Collaborative Group, MacMahon S, ym. Effects of a fixed combination of perindopril and indapamide on macrovascular and microvascular outcomes in patients with type 2 diabetes mellitus (the ADVANCE trial): a randomised controlled trial. Lancet 2007;370(9590):829-40 «PMID: 17765963»PubMed
  43. Lopes de Faria JM, Jalkh AE, Trempe CL, ym. Diabetic macular edema: risk factors and concomitants. Acta Ophthalmol Scand 1999;77(2):170-5 «PMID: 10321533»PubMed
  44. Chaturvedi N, Fuller JH, Taskinen MR, ym. Differing associations of lipid and lipoprotein disturbances with the macrovascular and microvascular complications of type 1 diabetes. Diabetes Care 2001;24(12):2071-7 «PMID: 11723085»PubMed
  45. Kohner EM, Aldington SJ, Stratton IM, ym. United Kingdom Prospective Diabetes Study, 30: diabetic retinopathy at diagnosis of non-insulin-dependent diabetes mellitus and associated risk factors. Arch Ophthalmol 1998;116(3):297-303 «PMID: 9514482»PubMed
  46. Stratton IM, Kohner EM, Aldington SJ, ym. UKPDS 50: risk factors for incidence and progression of retinopathy in Type II diabetes over 6 years from diagnosis. Diabetologia 2001;44(2):156-63 «PMID: 11270671»PubMed
  47. Lyons TJ, Jenkins AJ, Zheng D, ym. Diabetic retinopathy and serum lipoprotein subclasses in the DCCT/EDIC cohort. Invest Ophthalmol Vis Sci 2004;45(3):910-8 «PMID: 14985310»PubMed
  48. Agardh E, Agardh CD. Diabetic retinopathy. International Textbook of Diabetes Mellitus. 3. painos. 2004:1199 
  49. Qiao Q, Keinänen-Kiukaanniemi S, Läärä E. The relationship between hemoglobin levels and diabetic retinopathy. J Clin Epidemiol 1997;50(2):153-8 «PMID: 9120508»PubMed
  50. Squirrell D, Bhola R, Bush J, ym. A prospective, case controlled study of the natural history of diabetic retinopathy and maculopathy after uncomplicated phacoemulsification cataract surgery in patients with type 2 diabetes. Br J Ophthalmol 2002;86(5):565-71 «PMID: 11973256»PubMed
  51. Krepler K, Biowski R, Schrey S, ym. Cataract surgery in patients with diabetic retinopathy: visual outcome, progression of diabetic retinopathy, and incidence of diabetic macular oedema. Graefes Arch Clin Exp Ophthalmol 2002;240(9):735-8 «PMID: 12271370»PubMed
  52. Somaiya M, Burns JD, Mintz R, ym. Factors affecting visual outcomes after small-incision phacoemulsification in diabetic patients. J Cataract Refract Surg 2002;28(8):1364-71 «PMID: 12160805»PubMed
  53. Zaczek A, Olivestedt G, Zetterström C. Visual outcome after phacoemulsification and IOL implantation in diabetic patients. Br J Ophthalmol 1999;83(9):1036-41 «PMID: 10460771»PubMed
  54. Chew EY, Benson WE, Remaley NA, ym. Results after lens extraction in patients with diabetic retinopathy: early treatment diabetic retinopathy study report number 25. Arch Ophthalmol 1999;117(12):1600-6 «PMID: 10604663»PubMed
  55. Singh R, Alpern L, Jaffe GJ, ym. Evaluation of nepafenac in prevention of macular edema following cataract surgery in patients with diabetic retinopathy. Clin Ophthalmol 2012;6():1259-69 «PMID: 22927737»PubMed
  56. Vérier-Mine O, Chaturvedi N, Webb D, ym. Is pregnancy a risk factor for microvascular complications? The EURODIAB Prospective Complications Study. Diabet Med 2005;22(11):1503-9 «PMID: 16241914»PubMed
  57. Chew EY, Mills JL, Metzger BE, ym. Metabolic control and progression of retinopathy. The Diabetes in Early Pregnancy Study. National Institute of Child Health and Human Development Diabetes in Early Pregnancy Study. Diabetes Care 1995;18(5):631-7 «PMID: 8586000»PubMed
  58. Diabetes Control and Complications Trial Research Group. Effect of pregnancy on microvascular complications in the diabetes control and complications trial. The Diabetes Control and Complications Trial Research Group. Diabetes Care 2000;23(8):1084-91 «PMID: 10937502»PubMed
  59. Cunningham ET Jr, Adamis AP, Altaweel M, ym. A phase II randomized double-masked trial of pegaptanib, an anti-vascular endothelial growth factor aptamer, for diabetic macular edema. Ophthalmology 2005;112(10):1747-57 «PMID: 16154196»PubMed
  60. Mühlhauser I, Bender R, Bott U, ym. Cigarette smoking and progression of retinopathy and nephropathy in type 1 diabetes. Diabet Med 1996;13(6):536-43 «PMID: 8799657»PubMed
  61. Tupakka- ja nikotiiniriippuvuuden ehkäisy ja hoito. Käypä hoito -suositus. Suomalaisen Lääkäriseuran Duodecimin ja Suomen Yleislääketieteen yhdistyksen asettama työryhmä. Helsinki: Suomalainen Lääkäriseura Duodecim, 2018 (viitattu pp.kk.vvvv). Saatavilla internetissä: www.kaypahoito.fi
  62. Kohner EM, Stratton IM, Aldington SJ, ym. Relationship between the severity of retinopathy and progression to photocoagulation in patients with Type 2 diabetes mellitus in the UKPDS (UKPDS 52). Diabet Med 2001;18(3):178-84 «PMID: 11318837»PubMed
  63. Barr CC. Retinopathy and nephropathy in patients with type 1 diabetes four years after a trial of intensive insulin therapy, by The Diabetes Control and Complications Trial/Epidemiology of Diabetes Interventions and Complications Research Group. N. Engl. J. Med 342:381-9, 2000. Surv Ophthalmol 2001;45(5):459-60 «PMID: 11274700»PubMed
  64. Younis N, Broadbent DM, Vora JP, ym. Incidence of sight-threatening retinopathy in patients with type 2 diabetes in the Liverpool Diabetic Eye Study: a cohort study. Lancet 2003;361(9353):195-200 «PMID: 12547541»PubMed
  65. Klein R, Meuer SM, Moss SE, ym. Retinal microaneurysm counts and 10-year progression of diabetic retinopathy. Arch Ophthalmol 1995;113(11):1386-91 «PMID: 7487599»PubMed
  66. Klein R, Klein BE, Moss SE, ym. The relation of retinal vessel caliber to the incidence and progression of diabetic retinopathy: XIX: the Wisconsin Epidemiologic Study of Diabetic Retinopathy. Arch Ophthalmol 2004;122(1):76-83 «PMID: 14718299»PubMed
  67. Klein R, Myers CE, Lee KE, ym. Changes in retinal vessel diameter and incidence and progression of diabetic retinopathy. Arch Ophthalmol 2012;130(6):749-55 «PMID: 22332203»PubMed
  68. Hietala K, Forsblom C, Summanen P, ym. Higher age at onset of type 1 diabetes increases risk of macular oedema. Acta Ophthalmol 2013;91(8):709-15 «PMID: 22973826»PubMed
  69. Hietala K, Harjutsalo V, Forsblom C, ym. Age at onset and the risk of proliferative retinopathy in type 1 diabetes. Diabetes Care 2010;33(6):1315-9 «PMID: 20185730»PubMed
  70. Wong J, Molyneaux L, Constantino M, ym. Timing is everything: age of onset influences long-term retinopathy risk in type 2 diabetes, independent of traditional risk factors. Diabetes Care 2008;31(10):1985-90 «PMID: 18628565»PubMed
  71. Clustering of long-term complications in families with diabetes in the diabetes control and complications trial. The Diabetes Control and Complications Trial Research Group. Diabetes 1997;46(11):1829-39 «PMID: 9356033»PubMed
  72. Hietala K, Forsblom C, Summanen P, ym. Heritability of proliferative diabetic retinopathy. Diabetes 2008;57(8):2176-80 «PMID: 18443200»PubMed
  73. Uhlmann K, Kovacs P, Boettcher Y, ym. Genetics of diabetic retinopathy. Exp Clin Endocrinol Diabetes 2006;114(6):275-94 «PMID: 16868886»PubMed
  74. Steffes MW, Sibley S, Jackson M, ym. Beta-cell function and the development of diabetes-related complications in the diabetes control and complications trial. Diabetes Care 2003;26(3):832-6 «PMID: 12610045»PubMed
  75. Tye A, Wharton H, Wright A, ym. Evaluating digital diabetic retinopathy screening in people aged 90 years and over. Eye (Lond) 2015;29(11):1442-5 «PMID: 26183285»PubMed
  76. Klein R, Klein BE, Moss SE. Epidemiology of proliferative diabetic retinopathy. Diabetes Care 1992;15(12):1875-91 «PMID: 1464243»PubMed
  77. Beetham WP, Aiello LM, Balodimos MC, ym. Ruby-laser photocoagulation of early diabetic neovascular retinopathy: preliminary report of a long-term controlled study. Trans Am Ophthalmol Soc 1969;67():39-67 «PMID: 5393426»PubMed
  78. Browning DJ, Flynn HW Jr, Blankenship GW. Asymmetric retinopathy in patients with diabetes mellitus. Am J Ophthalmol 1988;105(6):584-9 «PMID: 3377038»PubMed
  79. Meyer-Schwickerath RE, Schott K. Diabetic retinopathy and photocoagulation. Am J Ophthalmol 1968;66(4):597-603 «PMID: 5729579»PubMed
  80. Lin Z, Li D, Zhai G, ym. High myopia is protective against diabetic retinopathy via thinning retinal vein: A report from Fushun Diabetic Retinopathy Cohort Study (FS-DIRECT). Diab Vasc Dis Res 2020;17(4):1479164120940988 «PMID: 32686483»PubMed
  81. Virgili G, Menchini F, Casazza G, ym. Optical coherence tomography (OCT) for detection of macular oedema in patients with diabetic retinopathy. Cochrane Database Syst Rev 2015;1(1):CD008081 «PMID: 25564068»PubMed
  82. Kristinsson JK, Hauksdóttir H, Stefánsson E, ym. Active prevention in diabetic eye disease. A 4-year follow-up. Acta Ophthalmol Scand 1997;75(3):249-54 «PMID: 9253967»PubMed
  83. Stefánsson E, Bek T, Porta M, ym. Screening and prevention of diabetic blindness. Acta Ophthalmol Scand 2000;78(4):374-85 «PMID: 10990036»PubMed
  84. Stefánsson E. Prevention of diabetic blindness. Br J Ophthalmol 2006;90(1):2-3 «PMID: 16361653»PubMed
  85. Hall HN, Chinn DJ, Sinclair A, ym. Epidemiology of blindness attributable to diabetes in Scotland: change over 20 years in a defined population. Diabet Med 2013;30(11):1349-54 «PMID: 23659477»PubMed
  86. Hautala N, Aikkila R, Korpelainen J, ym. Marked reductions in visual impairment due to diabetic retinopathy achieved by efficient screening and timely treatment. Acta Ophthalmol 2014;92(6):582-7 «PMID: 24131738»PubMed
  87. Pajunpää H. Diabeettisen retinopatian valokuvaseulonnan kustannukset ja hyödyt sekä näkövammaisten elämänlaatu ja kuolleisuus (väitöskirja). Acta Univ Oulu D 522, 1999 
  88. Savolainen EA, Lee QP. Diabetic retinopathy - need and demand for photocoagulation and its cost-effectiveness: evaluation based on services in the United Kingdom. Diabetologia 1982;23(2):138-40 «PMID: 6813169»PubMed
  89. Javitt JC, Canner JK, Sommer A. Cost effectiveness of current approaches to the control of retinopathy in type I diabetics. Ophthalmology 1989;96(2):255-64 «PMID: 2495499»PubMed
  90. Aldington SJ, Kohner EM, Meuer S, ym. Methodology for retinal photography and assessment of diabetic retinopathy: the EURODIAB IDDM complications study. Diabetologia 1995;38(4):437-44 «PMID: 7796984»PubMed
  91. Gibbins RL, Owens DR, Allen JC, ym. Practical application of the European Field Guide in screening for diabetic retinopathy by using ophthalmoscopy and 35 mm retinal slides. Diabetologia 1998;41(1):59-64 «PMID: 9498631»PubMed
  92. A protocol for screening for diabetic retinopathy in Europe. Retinopathy Working Party. Diabet Med 1991;8(3):263-7 «PMID: 1828743»PubMed
  93. Canadian Ophthalmological Society Diabetic Retinopathy Clinical Practice Guideline Expert Committee, Hooper P, Boucher MC, ym. Canadian Ophthalmological Society Evidence-based Clinical Practice Guidelines for the Management of Diabetic Retinopathy - executive summary. Can J Ophthalmol 2012;47(2):91-6 «PMID: 22560411»PubMed
  94. Grauslund J, Andersen N, Andresen J, ym. Evidence-based Danish guidelines for screening of diabetic retinopathy. Acta Ophthalmol 2018;96(8):763-769 «PMID: 30311394»PubMed
  95. Morrison JL, Hodgson LA, Lim LL, ym. Diabetic retinopathy in pregnancy: a review. Clin Exp Ophthalmol 2016;44(4):321-34 «PMID: 27062093»PubMed
  96. Agardh E, Tababat-Khani P. Adopting 3-year screening intervals for sight-threatening retinal vascular lesions in type 2 diabetic subjects without retinopathy. Diabetes Care 2011;34(6):1318-9 «PMID: 21562322»PubMed
  97. Scanlon PH, Stratton IM, Histed M, ym. The influence of background diabetic retinopathy in the second eye on rates of progression of diabetic retinopathy between 2005 and 2010. Acta Ophthalmol 2013;91(5):e335-9 «PMID: 23551550»PubMed
  98. Tsujimoto T, Kajio H. Four-Year Screening Interval and Vision-Threatening Retinopathy in Type 2 Diabetes Patients With Good Glycemic Control. Mayo Clin Proc 2021;96(2):322-331 «PMID: 33549254»PubMed
  99. Groeneveld Y, Tavenier D, Blom JW, ym. Incidence of sight-threatening diabetic retinopathy in people with Type 2 diabetes mellitus and numbers needed to screen: a systematic review. Diabet Med 2019;36(10):1199-1208 «PMID: 30677170»PubMed
  100. Hutchinson A, McIntosh A, Peters J, ym. Effectiveness of screening and monitoring tests for diabetic retinopathy--a systematic review. Diabet Med 2000;17(7):495-506 «PMID: 10972578»PubMed
  101. Delori FC, Gragoudas ES, Francisco R, ym. Monochromatic ophthalmoscopy and fundus photography. The normal fundus. Arch Ophthalmol 1977;95(5):861-8 «PMID: 860947»PubMed
  102. Hellstedt T, Vesti E, Immonen I. Identification of individual microaneurysms: a comparison between fluorescein angiograms and red-free and colour photographs. Graefes Arch Clin Exp Ophthalmol 1996;234 Suppl 1():S13-7 «PMID: 8871144»PubMed
  103. von Wendt G, Heikkilä K, Summanen P. Assessment of diabetic retinopathy using two-field 60 degrees fundus photography. A comparison between red-free, black-and-white prints and colour transparencies. Acta Ophthalmol Scand 1999;77(6):638-47 «PMID: 10634555»PubMed
  104. von Wendt G, Summanen P, Hallnäs K, ym. Detection of diabetic retinopathy: a comparison between red-free digital images and colour transparencies. Graefes Arch Clin Exp Ophthalmol 2005;243(5):427-32 «PMID: 15729542»PubMed
  105. Murgatroyd H, Ellingford A, Cox A, ym. Effect of mydriasis and different field strategies on digital image screening of diabetic eye disease. Br J Ophthalmol 2004;88(7):920-4 «PMID: 15205238»PubMed
  106. Pugh JA, Jacobson JM, Van Heuven WA, ym. Screening for diabetic retinopathy. The wide-angle retinal camera. Diabetes Care 1993;16(6):889-95 «PMID: 8100761»PubMed
  107. von Wendt G, Heikkilä K, Summanen P. Detection of retinal neovascularizations using 45 degrees and 60 degrees photographic fields with varying 45 degrees fields simulated on a 60 degrees photograph. Acta Ophthalmol Scand 2002;80(4):372-8 «PMID: 12190778»PubMed
  108. Neubauer AS, Kernt M, Haritoglou C, ym. Nonmydriatic screening for diabetic retinopathy by ultra-widefield scanning laser ophthalmoscopy (Optomap). Graefes Arch Clin Exp Ophthalmol 2008;246(2):229-35 «PMID: 17622548»PubMed
  109. Silva PS, Cavallerano JD, Sun JK, ym. Nonmydriatic ultrawide field retinal imaging compared with dilated standard 7-field 35-mm photography and retinal specialist examination for evaluation of diabetic retinopathy. Am J Ophthalmol 2012;154(3):549-559.e2 «PMID: 22626617»PubMed
  110. Hirano T, Hoshiyama K, Takahashi Y, ym. Wide-field swept-source OCT angiography (23 × 20 mm) for detecting retinal neovascularization in eyes with proliferative diabetic retinopathy. Graefes Arch Clin Exp Ophthalmol 2023;261(2):339-344 «PMID: 36303061»PubMed
  111. Mackenzie S, Schmermer C, Charnley A, ym. SDOCT imaging to identify macular pathology in patients diagnosed with diabetic maculopathy by a digital photographic retinal screening programme. PLoS One 2011;6(5):e14811 «PMID: 21573106»PubMed
  112. Wong RL, Tsang CW, Wong DS, ym. Are we making good use of our public resources? The false-positive rate of screening by fundus photography for diabetic macular oedema. Hong Kong Med J 2017;23(4):356-64 «PMID: 28684650»PubMed
  113. Sahlsten J, Jaskari J, Kaski K ym. Diabeettisen retinopatian ja makulopatian luokittelu syväoppivan tekoälyjärjestelmän avulla. Duodecim 2020;136:1971-8, https://www.duodecimlehti.fi/duo15766
  114. Joseph S, Selvaraj J, Mani I, ym. Diagnostic Accuracy of Artificial Intelligence-Based Automated Diabetic Retinopathy Screening in Real-World Settings: A Systematic Review and Meta-Analysis. Am J Ophthalmol 2024;263():214-230 «PMID: 38438095»PubMed
  115. Wu H, Jin K, Yip CC, ym. A systematic review of economic evaluation of artificial intelligence-based screening for eye diseases: From possibility to reality. Surv Ophthalmol 2024;(): «PMID: 38492584»PubMed
  116. Grauslund J. Diabetic retinopathy screening in the emerging era of artificial intelligence. Diabetologia 2022;65(9):1415-1423 «PMID: 35639120»PubMed
  117. Hu W, Joseph S, Li R, ym. Population impact and cost-effectiveness of artificial intelligence-based diabetic retinopathy screening in people living with diabetes in Australia: a cost effectiveness analysis. EClinicalMedicine 2024;67():102387 «PMID: 38314061»PubMed
  118. Buehler AM, Cavalcanti AB, Berwanger O, ym. Effect of tight blood glucose control versus conventional control in patients with type 2 diabetes mellitus: a systematic review with meta-analysis of randomized controlled trials. Cardiovasc Ther 2013;31(3):147-60 «PMID: 22212499»PubMed
  119. Effects of ramipril on cardiovascular and microvascular outcomes in people with diabetes mellitus: results of the HOPE study and MICRO-HOPE substudy. Heart Outcomes Prevention Evaluation Study Investigators. Lancet 2000;355(9200):253-9 «PMID: 10675071»PubMed
  120. Estacio RO, Jeffers BW, Gifford N, ym. Effect of blood pressure control on diabetic microvascular complications in patients with hypertension and type 2 diabetes. Diabetes Care 2000;23 Suppl 2():B54-64 «PMID: 10860192»PubMed
  121. Knudsen ST, Bek T, Poulsen PL, ym. Effects of losartan on diabetic maculopathy in type 2 diabetic patients: a randomized, double-masked study. J Intern Med 2003;254(2):147-58 «PMID: 12859696»PubMed
  122. ACCORD Study Group, ACCORD Eye Study Group, Chew EY, ym. Effects of medical therapies on retinopathy progression in type 2 diabetes. N Engl J Med 2010;363(3):233-44 «PMID: 20587587»PubMed
  123. Beulens JW, Patel A, Vingerling JR, ym. Effects of blood pressure lowering and intensive glucose control on the incidence and progression of retinopathy in patients with type 2 diabetes mellitus: a randomised controlled trial. Diabetologia 2009;52(10):2027-36 «PMID: 19633827»PubMed
  124. Chaturvedi N, Porta M, Klein R, ym. Effect of candesartan on prevention (DIRECT-Prevent 1) and progression (DIRECT-Protect 1) of retinopathy in type 1 diabetes: randomised, placebo-controlled trials. Lancet 2008;372(9647):1394-402 «PMID: 18823656»PubMed
  125. Keech AC, Mitchell P, Summanen PA, ym. Effect of fenofibrate on the need for laser treatment for diabetic retinopathy (FIELD study): a randomised controlled trial. Lancet 2007;370(9600):1687-97 «PMID: 17988728»PubMed
  126. Hikichi T, Fujio N, Akiba J, ym. Association between the short-term natural history of diabetic macular edema and the vitreomacular relationship in type II diabetes mellitus. Ophthalmology 1997;104(3):473-8 «PMID: 9082275»PubMed
  127. Treatment techniques and clinical guidelines for photocoagulation of diabetic macular edema. Early Treatment Diabetic Retinopathy Study Report Number 2. Early Treatment Diabetic Retinopathy Study Research Group. Ophthalmology 1987;94(7):761-74 «PMID: 3658348»PubMed
  128. Zirpel JJ, Pfister IB, Gerhardt C, ym. Long-term outcomes of intravitreal therapy for symptomatic diabetic macular oedema in a real-world setting in Switzerland. Graefes Arch Clin Exp Ophthalmol 2021;259(12):3569-3578 «PMID: 33942162»PubMed
  129. Jhaveri CD, Glassman AR, Ferris FL 3rd, ym. Aflibercept Monotherapy or Bevacizumab First for Diabetic Macular Edema. N Engl J Med 2022;387(8):692-703 «PMID: 35833805»PubMed
  130. Diabetic Retinopathy Clinical Research Network, Wells JA, Glassman AR, ym. Aflibercept, bevacizumab, or ranibizumab for diabetic macular edema. N Engl J Med 2015;372(13):1193-203 «PMID: 25692915»PubMed
  131. Wells JA, Glassman AR, Jampol LM, ym. Association of Baseline Visual Acuity and Retinal Thickness With 1-Year Efficacy of Aflibercept, Bevacizumab, and Ranibizumab for Diabetic Macular Edema. JAMA Ophthalmol 2016;134(2):127-34 «PMID: 26605836»PubMed
  132. Wells JA, Glassman AR, Ayala AR, ym. Aflibercept, Bevacizumab, or Ranibizumab for Diabetic Macular Edema: Two-Year Results from a Comparative Effectiveness Randomized Clinical Trial. Ophthalmology 2016;123(6):1351-9 «PMID: 26935357»PubMed
  133. Brown DM, Emanuelli A, Bandello F, ym. KESTREL and KITE: 52-Week Results From Two Phase III Pivotal Trials of Brolucizumab for Diabetic Macular Edema. Am J Ophthalmol 2022;238():157-172 «PMID: 35038415»PubMed
  134. Wells JA, Wykoff CC, Willis JR, ym. Efficacy, durability, and safety of faricimab in diabetic macular edema (DME): one-year results from the phase 3 YOSEMITE and RHINE trials. Investigative Ophthalmology Sci 2021;62:1037
  135. Polizzi S, Mahajan VB. Intravitreal Anti-VEGF Injections in Pregnancy: Case Series and Review of Literature. J Ocul Pharmacol Ther 2015;31(10):605-10 «PMID: 26302032»PubMed
  136. Ong AY, Kiire CA, Frise C, ym. Intravitreal anti-vascular endothelial growth factor injections in pregnancy and breastfeeding: a case series and systematic review of the literature. Eye (Lond) 2024;38(5):951-963 «PMID: 37980398»PubMed
  137. Zein WM, Noureddin BN, Jurdi FA, ym. Panretinal photocoagulation and intravitreal triamcinolone acetonide for the management of proliferative diabetic retinopathy with macular edema. Retina 2006;26(2):137-42 «PMID: 16467667»PubMed
  138. Margolis R, Singh RP, Bhatnagar P, ym. Intravitreal triamcinolone as adjunctive treatment to laser panretinal photocoagulation for concomitant proliferative diabetic retinopathy and clinically significant macular oedema. Acta Ophthalmol 2008;86(1):105-10 «PMID: 17608830»PubMed
  139. Jonas JB. Intravitreal triamcinolone acetonide for treatment of intraocular oedematous and neovascular diseases. Acta Ophthalmol Scand 2005;83(6):645-63 «PMID: 16396641»PubMed
  140. Diabetic Retinopathy Clinical Research Network (DRCR.net), Beck RW, Edwards AR, ym. Three-year follow-up of a randomized trial comparing focal/grid photocoagulation and intravitreal triamcinolone for diabetic macular edema. Arch Ophthalmol 2009;127(3):245-51 «PMID: 19273785»PubMed
  141. Jampol LM, Yannuzzi LA, Weinreb RN. Glaucoma and intravitreal steroids. Ophthalmology 2005;112(8):1325-6 «PMID: 16061091»PubMed
  142. Cekiç O, Chang S, Tseng JJ, ym. Cataract progression after intravitreal triamcinolone injection. Am J Ophthalmol 2005;139(6):993-8 «PMID: 15953428»PubMed
  143. Rossetti L, Chaudhuri J, Dickersin K. Medical prophylaxis and treatment of cystoid macular edema after cataract surgery. The results of a meta-analysis. Ophthalmology 1998;105(3):397-405 «PMID: 9499767»PubMed
  144. Barkmeier AJ, Nicholson BP, Akduman L. Effectiveness of laser photocoagulation in clinically significant macular edema with focal versus diffuse parafoveal thickening on optical coherence tomography. Ophthalmic Surg Lasers Imaging 2009;40(5):472-9 «PMID: 19772271»PubMed
  145. Gardner TW, Antonetti DA, Barber AJ, ym. Diabetic retinopathy: more than meets the eye. Surv Ophthalmol 2002;47 Suppl 2():S253-62 «PMID: 12507627»PubMed
  146. Freyler H. [Laser therapy of diabetic maculopathy. A comparative study of the argon green laser and dye red laser]. Klin Monbl Augenheilkd 1990;197(2):176-81 «PMID: 2243481»PubMed
  147. Akduman L, Olk RJ. Diode laser (810 nm) versus argon green (514 nm) modified grid photocoagulation for diffuse diabetic macular edema. Ophthalmology 1997;104(9):1433-41 «PMID: 9307638»PubMed
  148. Gupta V, Gupta A, Kaur R, ym. Efficacy of various laser wavelengths in the treatment of clinically significant macular edema in diabetics. Ophthalmic Surg Lasers 2001;32(5):397-405 «PMID: 11563784»PubMed
  149. Lövestam-Adrian M, Agardh E. Photocoagulation of diabetic macular oedema--complications and visual outcome. Acta Ophthalmol Scand 2000;78(6):667-71 «PMID: 11167229»PubMed
  150. Fong DS, Segal PP, Myers F, ym. Subretinal fibrosis in diabetic macular edema. ETDRS report 23. Early Treatment Diabetic Retinopathy Study Research Group. Arch Ophthalmol 1997;115(7):873-7 «PMID: 9230827»PubMed
  151. Schatz H, Madeira D, McDonald HR, ym. Progressive enlargement of laser scars following grid laser photocoagulation for diffuse diabetic macular edema. Arch Ophthalmol 1991;109(11):1549-51 «PMID: 1755735»PubMed
  152. Akduman L, Olk RJ. Subthreshold (invisible) modified grid diode laser photocoagulation in diffuse diabetic macular edema (DDME). Ophthalmic Surg Lasers 1999;30(9):706-14 «PMID: 10574491»PubMed
  153. Bandello F, Polito A, Del Borrello M, ym. "Light" versus "classic" laser treatment for clinically significant diabetic macular oedema. Br J Ophthalmol 2005;89(7):864-70 «PMID: 15965168»PubMed
  154. Laursen ML, Moeller F, Sander B, ym. Subthreshold micropulse diode laser treatment in diabetic macular oedema. Br J Ophthalmol 2004;88(9):1173-9 «PMID: 15317711»PubMed
  155. Luttrull JK, Musch DC, Mainster MA. Subthreshold diode micropulse photocoagulation for the treatment of clinically significant diabetic macular oedema. Br J Ophthalmol 2005;89(1):74-80 «PMID: 15615751»PubMed
  156. Sivaprasad S, Sandhu R, Tandon A, ym. Subthreshold micropulse diode laser photocoagulation for clinically significant diabetic macular oedema: a three-year follow up. Clin Exp Ophthalmol 2007;35(7):640-4 «PMID: 17894684»PubMed
  157. Figueira J, Khan J, Nunes S, ym. Prospective randomised controlled trial comparing sub-threshold micropulse diode laser photocoagulation and conventional green laser for clinically significant diabetic macular oedema. Br J Ophthalmol 2009;93(10):1341-4 «PMID: 19054831»PubMed
  158. Lavinsky D, Cardillo JA, Melo LA Jr, ym. Randomized clinical trial evaluating mETDRS versus normal or high-density micropulse photocoagulation for diabetic macular edema. Invest Ophthalmol Vis Sci 2011;52(7):4314-23 «PMID: 21345996»PubMed
  159. Takatsuna Y, Yamamoto S, Nakamura Y, ym. Long-term therapeutic efficacy of the subthreshold micropulse diode laser photocoagulation for diabetic macular edema. Jpn J Ophthalmol 2011;55(4):365-369 «PMID: 21647567»PubMed
  160. Luttrull JK, Dorin G. Subthreshold diode micropulse laser photocoagulation (SDM) as invisible retinal phototherapy for diabetic macular edema: a review. Curr Diabetes Rev 2012;8(4):274-84 «PMID: 22587512»PubMed
  161. Vujosevic S, Martini F, Convento E, ym. Subthreshold laser therapy for diabetic macular edema: metabolic and safety issues. Curr Med Chem 2013;20(26):3267-71 «PMID: 23745552»PubMed
  162. Mansouri A, Sampat KM, Malik KJ, ym. Efficacy of subthreshold micropulse laser in the treatment of diabetic macular edema is influenced by pre-treatment central foveal thickness. Eye (Lond) 2014;28(12):1418-24 «PMID: 25359290»PubMed
  163. Moisseiev E, Abbassi S, Thinda S, ym. Subthreshold micropulse laser reduces anti-VEGF injection burden in patients with diabetic macular edema. Eur J Ophthalmol 2018;28(1):68-73 «PMID: 28731494»PubMed
  164. Kanar HS, Arsan A, Altun A, ym. Can subthreshold micropulse yellow laser treatment change the anti-vascular endothelial growth factor algorithm in diabetic macular edema? A randomized clinical trial. Indian J Ophthalmol 2020;68(1):145-151 «PMID: 31856493»PubMed
  165. Preliminary report on effects of photocoagulation therapy. The Diabetic Retinopathy Study Research Group. Am J Ophthalmol 1976;81(4):383-96 «PMID: 944535»PubMed
  166. Photocoagulation treatment of proliferative diabetic retinopathy. Clinical application of Diabetic Retinopathy Study (DRS) findings, DRS Report Number 8. The Diabetic Retinopathy Study Research Group. Ophthalmology 1981;88(7):583-600 «PMID: 7196564»PubMed
  167. Royle P, Mistry H, Auguste P, ym. Pan-retinal photocoagulation and other forms of laser treatment and drug therapies for non-proliferative diabetic retinopathy: systematic review and economic evaluation. Health Technol Assess 2015;19(51):v-xxviii, 1-247 «PMID: 26173799»PubMed
  168. Sivak-Callcott JA, O'Day DM, Gass JD, ym. Evidence-based recommendations for the diagnosis and treatment of neovascular glaucoma. Ophthalmology 2001;108(10):1767-76; quiz1777, 1800 «PMID: 11581047»PubMed
  169. Olmos LC, Lee RK. Medical and surgical treatment of neovascular glaucoma. Int Ophthalmol Clin 2011;51(3):27-36 «PMID: 21633236»PubMed
  170. Hayreh SS. Neovascular glaucoma. Prog Retin Eye Res 2007;26(5):470-85 «PMID: 17690002»PubMed
  171. Techniques for scatter and local photocoagulation treatment of diabetic retinopathy: Early Treatment Diabetic Retinopathy Study Report no. 3. The Early Treatment Diabetic Retinopathy Study Research Group. Int Ophthalmol Clin 1987;27(4):254-64 «PMID: 3692707»PubMed
  172. Pautler SW. Treatment of proliferative diabetic retinopathy. Kirjassa Diabetic Retinopathy: Evidence Based Management Toim. DJ Browning, 2010:227-304. New York: Springer 
  173. Muqit MM, Marcellino GR, Henson DB, ym. Single-session vs multiple-session pattern scanning laser panretinal photocoagulation in proliferative diabetic retinopathy: The Manchester Pascal Study. Arch Ophthalmol 2010;128(5):525-33 «PMID: 20457972»PubMed
  174. Barbosa GC, Silva AG, Susanna BN, ym. Pain Perception of Patients Undergoing Laser Panretinal Photocoagulation: Comparison of Single-Spot Versus Multispot Techniques. Ophthalmic Surg Lasers Imaging Retina 2022;53(1):40-45 «PMID: 34982007»PubMed
  175. Muqit MM, Marcellino GR, Gray JC, ym. Pain responses of Pascal 20 ms multi-spot and 100 ms single-spot panretinal photocoagulation: Manchester Pascal Study, MAPASS report 2. Br J Ophthalmol 2010;94(11):1493-8 «PMID: 20558423»PubMed
  176. Al-Hussainy S, Dodson PM, Gibson JM. Pain response and follow-up of patients undergoing panretinal laser photocoagulation with reduced exposure times. Eye (Lond) 2008;22(1):96-9 «PMID: 18034195»PubMed
  177. Sheth S, Lanzetta P, Veritti D, ym. Experience with the Pascal® photocoagulator: an analysis of over 1,200 laser procedures with regard to parameter refinement. Indian J Ophthalmol 2011;59(2):87-91 «PMID: 21350276»PubMed
  178. Vine AK. The efficacy of additional argon laser photocoagulation for persistent, severe proliferative diabetic retinopathy. Ophthalmology 1985;92(11):1532-7 «PMID: 4080327»PubMed
  179. Olk RJ, Lee CM. Diabetic retinopathy: Practical management. Lippincott Co. Philadelphia, 1993 
  180. Kaufman SC, Ferris FL 3rd, Seigel DG, ym. Factors associated with visual outcome after photocoagulation for diabetic retinopathy. Diabetic Retinopathy Study Report #13. Invest Ophthalmol Vis Sci 1989;30(1):23-8 «PMID: 2912911»PubMed
  181. Chew EY, Ferris FL 3rd, Csaky KG, ym. The long-term effects of laser photocoagulation treatment in patients with diabetic retinopathy: the early treatment diabetic retinopathy follow-up study. Ophthalmology 2003;110(9):1683-9 «PMID: 13129862»PubMed
  182. Gardner TW, Eller AW, Friberg TR. Reduction of severe macular edema in eyes with poor vision after panretinal photocoagulation for proliferative diabetic retinopathy. Graefes Arch Clin Exp Ophthalmol 1991;229(4):323-8 «PMID: 1916318»PubMed
  183. Gaucher D, Fortunato P, LeCleire-Collet A, ym. Spontaneous resolution of macular edema after panretinal photocoagulation in florid proliferative diabetic retinopathy. Retina 2009;29(9):1282-8 «PMID: 19629019»PubMed
  184. Gross JG, Glassman AR, Liu D, ym. Five-Year Outcomes of Panretinal Photocoagulation vs Intravitreous Ranibizumab for Proliferative Diabetic Retinopathy: A Randomized Clinical Trial. JAMA Ophthalmol 2018;136(10):1138-1148 «PMID: 30043039»PubMed
  185. Sivaprasad S, Prevost AT, Vasconcelos JC, ym. Clinical efficacy of intravitreal aflibercept versus panretinal photocoagulation for best corrected visual acuity in patients with proliferative diabetic retinopathy at 52 weeks (CLARITY): a multicentre, single-blinded, randomised, controlled, phase 2b, non-inferiority trial. Lancet 2017;389(10085):2193-2203 «PMID: 28494920»PubMed
  186. Halim S, Nugawela M, Chakravarthy U, ym. Topographical Response of Retinal Neovascularization to Aflibercept or Panretinal Photocoagulation in Proliferative Diabetic Retinopathy: Post Hoc Analysis of the CLARITY Randomized Clinical Trial. JAMA Ophthalmol 2021;139(5):501-507 «PMID: 33704351»PubMed
  187. Figueira J, Fletcher E, Massin P, ym. Ranibizumab Plus Panretinal Photocoagulation versus Panretinal Photocoagulation Alone for High-Risk Proliferative Diabetic Retinopathy (PROTEUS Study). Ophthalmology 2018;125(5):691-700 «PMID: 29395119»PubMed
  188. Ip MS, Domalpally A, Sun JK, ym. Long-term effects of therapy with ranibizumab on diabetic retinopathy severity and baseline risk factors for worsening retinopathy. Ophthalmology 2015;122(2):367-74 «PMID: 25439595»PubMed
  189. Ip MS, Domalpally A, Hopkins JJ, ym. Long-term effects of ranibizumab on diabetic retinopathy severity and progression. Arch Ophthalmol 2012;130(9):1145-52 «PMID: 22965590»PubMed
  190. Lee CM, Olk RJ, Akduman L. Combined modified grid and panretinal photocoagulation for diffuse diabetic macular edema and proliferative diabetic retinopathy. Ophthalmic Surg Lasers 2000;31(4):292-300 «PMID: 10928666»PubMed
  191. Ferris FL 3rd, Podgor MJ, Davis MD. Macular edema in Diabetic Retinopathy Study patients. Diabetic Retinopathy Study Report Number 12. Ophthalmology 1987;94(7):754-60 «PMID: 3658347»PubMed
  192. Bressler SB, Beaulieu WT, Glassman AR, ym. PHOTOCOAGULATION VERSUS RANIBIZUMAB FOR PROLIFERATIVE DIABETIC RETINOPATHY: Should Baseline Characteristics Affect Choice of Treatment? Retina 2019;39(9):1646-1654 «PMID: 30807516»PubMed
  193. Shimura M, Yasuda K, Nakazawa T, ym. Visual dysfunction after panretinal photocoagulation in patients with severe diabetic retinopathy and good vision. Am J Ophthalmol 2005;140(1):8-15 «PMID: 15939392»PubMed
  194. Lövestam-Adrian M, Agardh CD, Torffvit O, ym. Type 1 diabetes patients with severe non-proliferative retinopathy may benefit from panretinal photocoagulation. Acta Ophthalmol Scand 2003;81(3):221-5 «PMID: 12780397»PubMed
  195. Ferris F. Early photocoagulation in patients with either type I or type II diabetes. Trans Am Ophthalmol Soc 1996;94():505-37 «PMID: 8981711»PubMed
  196. Shimura M, Yasuda K, Nakazawa T, ym. Quantifying alterations of macular thickness before and after panretinal photocoagulation in patients with severe diabetic retinopathy and good vision. Ophthalmology 2003;110(12):2386-94 «PMID: 14644723»PubMed
  197. Fong DS, Ferris FL 3rd, Davis MD, ym. Causes of severe visual loss in the early treatment diabetic retinopathy study: ETDRS report no. 24. Early Treatment Diabetic Retinopathy Study Research Group. Am J Ophthalmol 1999;127(2):137-41 «PMID: 10030553»PubMed
  198. Writing Committee for the Diabetic Retinopathy Clinical Research Network, Gross JG, Glassman AR, ym. Panretinal Photocoagulation vs Intravitreous Ranibizumab for Proliferative Diabetic Retinopathy: A Randomized Clinical Trial. JAMA 2015;314(20):2137-2146 «PMID: 26565927»PubMed
  199. Sun JK, Glassman AR, Beaulieu WT, ym. Rationale and Application of the Protocol S Anti-Vascular Endothelial Growth Factor Algorithm for Proliferative Diabetic Retinopathy. Ophthalmology 2019;126(1):87-95 «PMID: 30096354»PubMed
  200. Lang GE, Stahl A, Voegeler J, ym. Efficacy and safety of ranibizumab with or without panretinal laser photocoagulation versus laser photocoagulation alone in proliferative diabetic retinopathy - the PRIDE study. Acta Ophthalmol 2020;98(5):e530-e539 «PMID: 31808278»PubMed
  201. Lang GE, Stahl A, Voegeler J, ym. Observational outcomes in proliferative diabetic retinopathy patients following treatment with ranibizumab, panretinal laser photocoagulation or combination therapy - The non-interventional second year follow-up to the PRIDE study. Acta Ophthalmol 2022;100(2):e578-e587 «PMID: 34121335»PubMed
  202. Parikh RN, Traband A, Kolomeyer AM, ym. Intravitreal Bevacizumab for the Treatment of Vitreous Hemorrhage Due to Proliferative Diabetic Retinopathy. Am J Ophthalmol 2017;176():194-202 «PMID: 28130042»PubMed
  203. Wirkkala J, Bloigu R, Hautala NM. Intravitreal bevacizumab improves the clearance of vitreous haemorrhage and visual outcomes in patients with proliferative diabetic retinopathy. BMJ Open Ophthalmol 2019;4(1):e000390 «PMID: 31909195»PubMed
  204. Martinez-Zapata MJ, Martí-Carvajal AJ, Solà I, ym. Anti-vascular endothelial growth factor for proliferative diabetic retinopathy. Cochrane Database Syst Rev 2014;2014(11):CD008721 «PMID: 25418485»PubMed
  205. Obeid A, Su D, Patel SN, ym. Outcomes of Eyes Lost to Follow-up with Proliferative Diabetic Retinopathy That Received Panretinal Photocoagulation versus Intravitreal Anti-Vascular Endothelial Growth Factor. Ophthalmology 2019;126(3):407-413 «PMID: 30077614»PubMed
  206. Mehanna CJ, Abdul Fattah M, Haddad S, ym. Anti-VEGF Therapy for Persistent Neovascularization after Complete Panretinal Photocoagulation in Proliferative Diabetic Retinopathy. Ophthalmol Retina 2019;3(6):473-477 «PMID: 31174668»PubMed
  207. Wubben TJ, Johnson MW, Anti-VEGF Treatment Interruption Study Group. Anti-Vascular Endothelial Growth Factor Therapy for Diabetic Retinopathy: Consequences of Inadvertent Treatment Interruptions. Am J Ophthalmol 2019;204():13-18 «PMID: 30878488»PubMed
  208. Amoaku WM, Ghanchi F, Bailey C, ym. Diabetic retinopathy and diabetic macular oedema pathways and management: UK Consensus Working Group. Eye (Lond) 2020;34(Suppl 1):1-51 «PMID: 32504038»PubMed
  209. Zhang ZH, Liu HY, Hernandez-Da Mota SE, ym. Vitrectomy with or without preoperative intravitreal bevacizumab for proliferative diabetic retinopathy: a meta-analysis of randomized controlled trials. Am J Ophthalmol 2013;156(1):106-115.e2 «PMID: 23791371»PubMed
  210. Guthrie G, Hall AB, Dhalla K, ym. Bevacizumab as an adjunct to vitreoretinal surgery for diabetic retinopathy in East Africa. Eye (Lond) 2013;27(11):1263-8 «PMID: 23949489»PubMed
  211. Tan Y, Fukutomi A, Sun MT, ym. Anti-VEGF crunch syndrome in proliferative diabetic retinopathy: A review. Surv Ophthalmol 2021;66(6):926-932 «PMID: 33705807»PubMed
  212. Laatikainen L, Ojamo M, Rudanko SL, ym. Improving visual prognosis of the diabetic patients during the past 30 years based on the data of the Finnish Register of Visual Impairment. Acta Ophthalmol 2016;94(3):226-31 «PMID: 26928978»PubMed
  213. Purola PKM, Ojamo MUI, Gissler M, ym. Changes in Visual Impairment due to Diabetic Retinopathy During 1980-2019 Based on Nationwide Register Data. Diabetes Care 2022;45(9):2020-2027 «PMID: 35838317»PubMed
  214. Tolkkinen L. Näkövammarekisterin vuosikirja 2022. Terveyden ja hyvinvoinnin laitos, Näkövammaliitto. ISSN 1236-5114 (painettu) https://cms.nkl.fi/sites/default/files/2023-12/Na%CC%88ko%CC%88vammarekisterin%20vuosikirja%202022.pdf
  215. Coyne KS, Margolis MK, Kennedy-Martin T, ym. The impact of diabetic retinopathy: perspectives from patient focus groups. Fam Pract 2004;21(4):447-53 «PMID: 15249536»PubMed
  216. Lamoureux EL, Hassell JB, Keeffe JE. The impact of diabetic retinopathy on participation in daily living. Arch Ophthalmol 2004;122(1):84-8 «PMID: 14718300»PubMed
  217. Jones GC, Rovner BW, Crews JE, ym. Effects of depressive symptoms on health behavior practices among older adults with vision loss. Rehabil Psychol 2009;54(2):164-72 «PMID: 19469606»PubMed
  218. Robertson N, Burden ML, Burden AC. Psychological morbidity and problems of daily living in people with visual loss and diabetes: do they differ from people without diabetes? Diabet Med 2006;23(10):1110-6 «PMID: 16978376»PubMed
  219. Horowitz A, Reinhardt JP, Boerner K. The effect of rehabilitation on depression among visually disabled older adults. Aging Ment Health 2005;9(6):563-70 «PMID: 16214704»PubMed
  220. Hannula V, Hautala N, Sintonen H, ym. Health-related quality of life--using the 15D instrument--of young adults with type 1 diabetes since childhood. Population-based Oulu cohort study of diabetic retinopathy. Acta Ophthalmol 2014;92(3):205-8 «PMID: 23763986»PubMed
  221. Hyvärinen L. Näkövammaisuus. Duodecim Lääkärin käsikirja 2009. 
  222. Valtakunnalliset lääkinnälliseen kuntoutukseen ohjaamisen perusteet. Sosiaali- ja terveysministeriön julkaisuja 2022:17. ISBN pdf: 978-952-00-5423-6. http://urn.fi/URN:ISBN:978-952-00-5423-6
  223. Stelmack JA, Tang XC, Reda DJ, ym. Outcomes of the Veterans Affairs Low Vision Intervention Trial (LOVIT). Arch Ophthalmol 2008;126(5):608-17 «PMID: 18474769»PubMed
  224. Nguyen NX, Weismann M, Trauzettel-Klosinski S. [Spectrum of ophthalmologic and social rehabilitation at the Tübinger Low-Vision Clinic : a retrospective analysis for 1999-2005]. Ophthalmologe 2008;105(6):563-9 «PMID: 18299841»PubMed
  225. Margrain TH. Helping blind and partially sighted people to read: the effectiveness of low vision aids. Br J Ophthalmol 2000;84(8):919-21 «PMID: 10906105»PubMed
  226. Hooper P, Jutai JW, Strong G, ym. Age-related macular degeneration and low-vision rehabilitation: a systematic review. Can J Ophthalmol 2008;43(2):180-7 «PMID: 18347620»PubMed
  227. Järvelä ME, Falck AAK, Rajala MM, ym. The extent to which mobile applications support independence among the visually impaired - a pilot study. Disabil Rehabil Assist Technol 2022;17(2):211-220 «PMID: 32521181»PubMed
  228. De Boer MR, Langelaan M, Jansonius NM, ym. Evidence-based guidelines on the referral of visually impaired persons to low vision services. Eur J Ophthalmol 2005;15(3):400-6 «PMID: 15945011»PubMed
  229. Eklund K, Sjöstrand J, Dahlin-Ivanoff S. A randomized controlled trial of a health-promotion programme and its effect on ADL dependence and self-reported health problems for the elderly visually impaired. Scand J Occup Ther 2008;15(2):68-74 «PMID: 17852958»PubMed
  230. Kuyk T, Liu L, Elliott JL, ym. Health-related quality of life following blind rehabilitation. Qual Life Res 2008;17(4):497-507 «PMID: 18392688»PubMed
  231. Lamoureux EL, Pallant JF, Pesudovs K, ym. The effectiveness of low-vision rehabilitation on participation in daily living and quality of life. Invest Ophthalmol Vis Sci 2007;48(4):1476-82 «PMID: 17389474»PubMed
  232. Siira H. Ikääntyneiden näkövammaisten henkilöiden näönkuntoutus, terveyteen liittyvä elämänlaatu ja siihen yhteydessä olevat tekijät: kahden vuoden monimenetelmäinen seurantatutkimus. Doctoral dissertation. University of Oulu. 2021. http://urn.fi/urn:isbn:9789526229225
  233. Valtakunnalliset lääkinnällisen kuntoutuksen apuvälineiden luovutusperusteet 2023: Opas apuvälinetyötä tekeville ammattilaisille ja ohjeita asiakkaille. Sosiaali- ja terveysministeriön julkaisuja 2023:13. ISBN pdf: 978-952-00-6887-5. http://urn.fi/URN:ISBN:978-952-00-6887-5

A

Diabeettisen makulaturvotuksen paikallinen valopolttohoito

Diabeettisen makulaturvotuksen paikallinen valopolttohoito vähentää kohtalaista näön heikkenemisen puoleen, kun silmässä on ns. kliinisesti merkittävä makulaturvotus. Silmissä, joissa turvotus ei ulotu makulan keskiosaan, hoito säilyttää hyvän näöntarkkuuden.

A

Fenofibraattilääkitys ja tyypin 2 diabeetikoiden retinopatia

Fenofibraattilääkitys hidastaa retinopatian etenemistä potilailla, joilla on tyypin 2 diabetes, mutta vaikutusta näöntarkkuuteen ei ole osoitettu.

A

Laserfotokoagulaatio proliferatiivisen diabeettisen retinopatian hoidossa

Laserhoito hidastaa diabetekseen liittyvän retinopatian etenemistä ja vähentää näön vaikea-asteista heikkenemistä verrattuna hoitamatta jättämiseen.

A

Lasiaisverkkokalvoleikkaus proliferatiivisen diabeettisen retinopatian aiheuttaman lasiaisverenvuodon tai verkkokalvon vetoirtauman hoitona

Lasiaisverkkokalvoleikkaus on tehokas keino hoitaa aiemmin sokeuteen johtaneita proliferatiivisen diabeettisen retinopatian aiheuttamia muutoksia, kirkastumatonta lasiaisvuotoa tai verkkokalvon vetoirtaumaa. Tulokset ovat parempia pelkän lasiaisvuodon vuoksi leikatuissa silmissä.

A

Lähellä normaalia oleva glukoositasapaino ja glykohemoglobiini ja diabeettisen retinopatian ilmaantuminen ja eteneminen

Lähellä normaalia oleva glukoositasapaino ja glykohemoglobiini vähentävät diabeettisen retinopatian ilmaantuvuutta ja etenemistä verrattuna huonompaan glukoositasapainoon.

A

Silmänpohjamuutosten eteneminen tyypin 2 diabeteksessa

Tyypin II diabeteksessa muutokset etenevät hitaasti, jos seulonnassa todetaan normaalilöydös tai erittäin vähäiset muutokset.

A

Tyypin 1 diabetesta sairastavat lapset ja retinopatia

Tyypin 1 diabetesta sairastavilla lapsilla ei esiinny retinopatiaa ennen 10 vuoden ikää.

A

Tyypin 2 diabeetikoiden retinopatiamuutokset diagnoosivaiheessa

Tyyppi 2 diabeetikoista osalla on retinopatiamuutoksia jo taudin diagnoosivaiheessa.

A

Vaikean taustaretinopatian ja varhaisen proliferatiivisen retinopatian laserhoito

Vaikean taustaretinopatian ja varhaisen proliferatiivisen retinopatian laserhoito vähentää retinopatian etenemistä, vitrektomiaa ja näönmenetystä, mutta voi aiheuttaa tai pahentaa makulaturvotusta, joten makulaturvotus tulee hoitaa.

A

Verenpaineen merkitys diabeettisen retinopatian ilmaantumiselle ja etenemiselle

Verenpaineen säilyttäminen normaalina vähentää retinopatian ilmenemistä ja hidastaa sen etenemistä.

B

Intravitreal anti-vascular endothelial growth factor for proliferative diabetic retinopathy

In patients with proliferative diabetic retinopathy, anti-VEGF treatment alone or in combination with panretinal photocoagulation may be slightly more effective in terms of best-corrected visual activity in two years follow-up, than panretinal photocoagulation alone.

B

Laaja kuvakenttä ja verkkokalvon uudissuonimuutokset

Kiinteässä kuvauspisteessä on hyvä pyrkiä mahdollisimman laajaan kuvakenttään, jolloin verkkokalvon uudissuonet löytyvät varmemmin.

B

Makulopatian hoidon aloitus potilailla, joilla on hyvä näöntarkkuus

Seuranta vaikuttaisi olevan yhtä hyvä hoitostrategia kuin afliberseptihoito tai makulalaserhoito potilailla, joilla on hyvä näöntarkkuus ja keskeinen makulaturvotus.

B

Murrosiän vaikutus silmänpohjamuutoksiin diabeteksessa

Diabetekseen ennen murrosikää sairastuneet ovat alttiimpia saamaan silmänpohjamuutoksia verrattuna murrosiässä tai sen jälkeen sairastuneisiin.

B

Ns. varhainen lasiaisverkkokalvoleikkaus vaikean proliferatiivisen diabeettisen retinopatian hoidossa tyypin 1 diabeetikoilla

Kirkastumattoman lasiaisverenvuodon leikkausajankohta määräytyy silmänpohjan tilanteen, potilaan toisen silmän näön ja näkövaatimusten perusteella. Pitkää seurantaa tulee välttää ja ns. varhaista lasiaisleikkausta harkita tyypin 1 diabetesta sairastavilla.

B

Seuranta potilailla, joilla on hyvä näöntarkkuus ja keskeinen diabeettinen makulaturvotus

Potilailla, joilla on keskeinen makulaturvotus mutta hyvä näöntarkkuus, seuranta lienee näöntarkkuuden kehittymisen osalta yhtä hyvä strategia kuin hoito aflibersepti-injektioilla tai makulalaserilla.

B

Verenpaineen hoito retinopatian ehkäisyssä tyypin 2 diabeetikoilla

Tehokas kohonneen verenpaineen hoito ilmeisesti vähentää retinopatian ja makulopatian etenemistä ja laserhoidon tarvetta tyypin 2 diabetesta sairastavilla.

D

Lasiaisleikkaus makulaturvotuksen hoitona

Lasiaisleikkaus voi vähentää makulaturvotusta, kun siihen liittyy lasiais-verkkokalvokiinnikkeitä tai niin sanottu paksu ja jäykkä lasiaiskalvo, mutta luotettava tutkimusnäyttö puuttuu.

D

Lasiaisleikkaus makulaturvotuksen hoitona, vaikka ei ole todettu makulaan kohdistuvaa vetoa tai paksua ja jäykkää lasiaiskalvoa

Laserhoidolle reagoimaton diffuusi tai kystinen diabeettinen makulaturvotus saattaa vähentyä ja näöntarkkuus parantua jonkin verran lasiaisen poistoleikkauksella, vaikka ei ole todettu makulaan kohdistuvaa vetoa tai paksua ja jäykkää lasiaiskalvoa, silloin kun posteriorinen lasiaisirtauma ei ole tapahtunut. Sisemmän rajakalvon poiston vaikutusta pitkän aikavälin näöntarkkuuteen ei tunneta.

Diabetes, taustaretinopatia, vasen silmä
Diabetes, taustaretinopatia, oikea silmä
Diabetes, proliferatiivinen retinopatia, makulaturvotus, oikea silmä
Diabetes, proliferatiivinen retinopatia, vasen silmä
Diabetes, 45 asteen kentän ulkopuolelle jäänyt uudissuoni
Diabetes, proliferatiivinen retinopatia, vasen silmä
Diabetes, proliferatiivinen retinopatia, vasen silmä
Diabetes, proliferatiivinen retinopatia, oikea silmä
Diabetes, vaikea taustaretinopatia eli preproliferatiivinen retinopatia ja makulopatia, vasen silmä
Diabetes, vaikea taustaretinopatia eli preproliferatiivinen retinopatia ja makulopatia, oikea silmä
Kliinisesti merkittävä diabeettinen makulaturvotus
Diabetes, taustaretinopatia, vasen silmä
Diabetes, taustaretinopatia ja makulaturvotus hävinnyt (itsestään) seurannassa, alueellinen laserhoito, oikea silmä
Diabetes, proliferatiivinen retinopatia, oikea silmä
Diabetes, vaikea taustaretinopatia ja makulaturvotuksen paikallinen laserhoito seurannassa, vasen silmä
Diabetes, vaikea taustaretinopatia ja makulopatia laserhoidon jälkeen, oikea silmä
Diabetes, proliferatiivinen retinopatia, oikea silmä
Diabetes, proliferatiivinen retinopatia, vasen silmä
Diabetes, proliferatiivinen retinopatia, vasen silmä
Diabetes, preproliferatiivinen retinopatia ja makulopatia, vasen silmä
Tarkan näkemisen alue
Diabetes, taustaretinopatia, oikea silmä
Diabetes, proliferatiivinen retinopatia, oikea silmä
Diabetes, proliferatiivinen retinopatia, vasen silmä
DME - Lääkehoitokaavio
Diabetes, proliferatiivinen retinopatia, oikea silmä
Diabetes, vaikea taustaretinopatia ja proliferatiivinen retinopatia laserhoidon hajalaserhoidon jälkeen, oikea silmä
Silmänpohjan neljännekset
Diabetes, taustaretinopatia, oikea silmä
Diabetes, taustaretinopatia, oikea silmä
Diabetes, proliferatiivinen retinopatia, makulaturvotus, vasen silmä
Taustaretinopatian eteneminen vaikeaksi proliferatiiviseksi retinopatiaksi

Välilehdelle on koottu suosituksen keskeisimmät materiaalit.

Voit hyödyntää niitä potilastyössä, oman toimipaikkasi koulutuksissa ja itseopiskelussa.

Tiivistelmä ja potilasversiot

Suosituksen tiivistelmä «Diabeettinen retinopatia»1

Suosituksen yleiskielinen potilasversio suomeksi «Diabeettinen retinopatia»2 ja ruotsiksi «Diabetisk retinopati»3

Implementointisuunnitelma

Implementointisuunnitelma on tarkoitettu työkaluksi terveydenhuollon ammattihenkilöille ja toimipaikoille edistämään Käypä hoito -suosituksen käyttöönottoa. Suunnitelmasta löytyy nopealla silmäyksellä työryhmän esiin nostamat keskeiset asiat ja tärkeimmät suositusmateriaalit.

Implementointisuunnitelma «https://sway.cloud.microsoft/pYeYb5sm54O1fzBG?ref=Link»1

Taulukot

Diabeettisen retinopatian seulonnan ajoitus «Diabeettinen retinopatia»4

Retinopatian luokittelu seulonnassa «Diabeettinen retinopatia»4

Retinopatian tarkka luokittelu silmätautien erikoislääkäreiden käyttöön «Diabeettinen retinopatia»4

Makulaturvotuksen vaikeusasteen luokittelu «Diabeettinen retinopatia»4

Kuvat ja kaaviot

Kliinisesti merkittävä diabeettinen makulaturvotus «Kliinisesti merkittävä diabeettinen makulaturvotus»1

Kuva 1.

Kliinisesti merkittävä diabeettinen makulaturvotus.

DME – Lääkehoitokaavio «DME - Lääkehoitokaavio»2

Kuva 2.

DME - Lääkehoitokaavio.

Aiheesta muualla

Verkkokurssi: Tunnetko diabeettisen retinopatian? (vaatii Oppiportin käyttöoikeuden) «https://www.oppiportti.fi/op/dvk00099»2

Aiheeseen liittyviä suosituksia